Association of bicuspid aortic valve stenosis with higher risk for hypoattenuated leaflet thickening following transcatheter aortic valve replacement
Highlight box
Key findings
• We investigate the investigate the incidence, predictors, and prognosis of hypoattenuated leaflet thickening (HALT) in a transcatheter aortic valve replacement (TAVR) cohort of young patients with 50–50% bicuspid-tricuspid aortic valve anatomy.
What is known and what is new?
• HALT occurs in at least 10% of patients after TAVR, which is associated with an increased incidence of cerebral ischemic lesions observed on magnetic resonance imaging (MRI), symptomatic hemodynamic deterioration and adverse clinical outcomes.
• Our study indicates that bicuspid aortic valve (BAV) is an independent predictor of HALT. Furthermore, there were no significant differences in stroke or death between the HALT and non-HALT groups at 30 days or 1 year.
What is the implication, and what should change now?
• BAV was associated with an increased risk of HALT following TAVR. The underlying mechanisms and long-term prognosis of HALT after TAVR in BAV patients warrant further investigation.
Introduction
Transcatheter aortic valve replacement (TAVR) has emerged as a highly effective treatment for severe symptomatic aortic stenosis, with its indications progressively extending from high-risk older adult patients to younger and lower-risk individuals (1,2). Consequently, the long-term durability of transcatheter aortic valves has gained heightened attention. Bicuspid aortic valve (BAV) is the most common congenital heart malformation, being present in 1% to 2% of the general population (3). In recent years, the application of TAVR in patients with BAV has increased, especially among those with suitable anatomy and calcified BAV stenosis, producing promising clinical outcomes comparable to those in patients with tricuspid aortic valve (TAV) (4,5).
Early hypoattenuated leaflet thickening (HALT) diagnosed by computed tomography angiography (CTA) occurs in at least 10% of patients after TAVR (6-8). Studies have demonstrated that HALT is associated with an increased incidence of cerebral ischemic lesions observed on magnetic resonance imaging (MRI) (9), symptomatic hemodynamic deterioration (10) and adverse clinical outcomes (11). Additionally, due to the effectiveness of pharmacological intervention with anticoagulation, HALT has aroused considerable interest (7). Therefore, proactive identification of HALT and targeted interventions are essential to mitigating its effect on patient outcomes and valve durability. Although previous studies have reported that the incidence of HALT after TAVR in patients with BAV is comparable to that in patients with TAV (12), the specific contributing factors remain incompletely understood.
This study aimed to investigate the frequency of early HALT, identify its predictors, and assess its clinical outcomes in a large, single-center cohort, which will assist clinicians in more effectively identifying high-risk patients and implementing timely interventions. We present this article in accordance with the STROBE reporting checklist (available at https://cdt.amegroups.com/article/view/10.21037/cdt-2025-64/rc).
Methods
Study design
The data supporting the findings of this study are available from the corresponding author upon reasonable request. This study was conducted as a single-center investigation at West China Hospital, Sichuan University. We consecutively enrolled patients with severe aortic stenosis who underwent TAVR at West China Hospital between May 2012 and January 2021. The main exclusion criteria were the following: (I) previous temporary prophylactic oral anticoagulant therapy without indications for anticoagulation; (II) valve problems due to infective endocarditis; (III) absence of preprocedural computed tomography (CT) imaging for determining the aortic valve type, including quadricuspid valve; (IV) previous bioprosthetic valve implantation before TAVR; (V) contraindications to contrast agents, allergies, or severe renal dysfunction (estimated glomerular filtration rate ≤30 mL/min); and (VI) incomplete or inconclusive CT series. The indication for TAVR was discussed in all cases by our multidisciplinary heart team according to the established clinical guidelines. A dedicated, predefined database was used to prospectively collect baseline demographics, clinical and anatomical features, procedural details, and hospitalization events. In the CT analysis, valve subtypes were classified, and the identification and determination of HALT was performed by experienced imaging specialists. Follow‐up with transthoracic echocardiography was systematically carried out at discharge, 1 month, 6 months, and 1 year, and then annually thereafter. The methodologies used for TAVR were in accordance with those previously described (13). The transcatheter heart valves (THVs) used during the study period were primarily self-expanding valves, including the VenusA-Valve (Venus MedTech, Hangzhou, China), CoreValve/Evolut Pro (Medtronic, Minneapolis, MN, USA), TaurusOne (Peijia Medical, Suzhou, China), and VitaFlow (MicroPort CardioFlow, Shanghai, China). The study was conducted in accordance with the Declaration of Helsinki and its subsequent amendments. The study was approved by the Ethics Committee on Biomedical Research, West China Hospital of Sichuan University [No. 2021(824)]. All participants provided written informed consent.
Multislice computed tomography (MSCT) acquisition and analysis
All MSCT scans were performed with a second-generation dual-source CT system (SOMATOM Definition Flash; Siemens Healthineers, Erlangen, Germany) and were contrasted prior to and following TAVR, as previously described (14). The annulus type was determined preoperatively with FluoroCT 3.0 software (Circle Cardiovascular Imaging Inc., Calgary, Canada). The identification and determination of HALT were in line with those of previous studies (10,15), with further assessment of leaflet motion being omitted due to data limitations. The presence of a hypoattenuating mass attached to bioprosthetic cusps or diffuse thickening of more than one cusp identifiable in at least two different multiplanar reformatted reconstructions projections was individually assessed by two investigators (6). Disagreements were settled via consultation with a third senior physician.
Statistical analysis
The normality of variables was assessed with the Kolmogorov-Smirnov test. Means were compared via two-sample t-tests and are presented as the mean ± standard deviation. Categorical data were compared with χ2 tests and are expressed as percentages. Univariate and multivariate logistic regression analyses were conducted to identify predictors of in-hospital HALT, with forward stepwise regression employed for the selection of significant factors. All statistical tests were two-sided, with significance set at a P value <0.05. Statistical analyses were conducted with SPSS version 27 (IBM Corp., Armonk, NY, USA).
Results
Study population and baseline characteristics
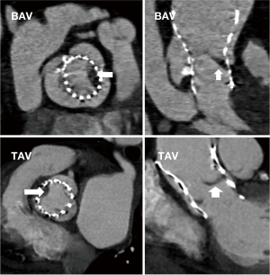
As shown in Figure 1, a total of 748 patients underwent TAVR for severe aortic stenosis at West China Hospital between May 2012 and January 2021. After the inclusion and exclusion criteria were applied, 605 patients were included in the final analysis. Baseline characteristics, procedural details, in-hospital clinical outcomes, and post-TAVR echocardiographic data were collected for these patients. The average age of patients was 73.97±6.88 years, with 340 (56.2%) being male. The average Society of Thoracic Surgeons (STS) score (16) was 6.43%±4.52%. The patients were divided into two groups based on the presence or absence of HALT observed on CT scans at discharge. Figure 2 illustrates the typical findings of HALT on CT in patients with BAV and TAV. HALT was detected in 13.1% (n=79) of patients during hospitalization (HALT group), while the remaining 526 patients did not develop HALT (non-HALT group). In the HALT group, 38 (48.1%) patients were male, while 302 (57.4%) were male in the non-HALT group. The average age of patients in the HALT group was 75.53±6.44 years, while that in the non-HALT group was 73.73±6.91 years. The HALT group had a higher proportion of patients with BAV. Patients in the non-HALT group had a higher body mass index (BMI), while the HALT group exhibited a higher incidence of coronary artery disease (CAD) and aortic regurgitation. A more detailed comparison of the baseline characteristics between the two groups is provided in Table 1.
Table 1
| Characteristics | All patients (N=605) | Non-HALT group (N=526) | HALT group (N=79) | P value |
|---|---|---|---|---|
| Bicuspid aortic valve | 302 (49.9) | 254 (48.3) | 48 (60.8) | 0.04 |
| Male | 340 (56.2) | 302 (57.4) | 38 (48.1) | 0.12 |
| Age, years | 73.97±6.88 | 73.73 ±6.91 | 75.53±6.44 | 0.03 |
| BMI, kg/m2 | 22.71±3.50 | 22.85±3.43 | 21.79±3.85 | 0.01 |
| Creatinine, mg/dL | 1.08±0.60 | 1.08±0.63 | 1.02±0.35 | 0.44 |
| STS-PROM score, % | 6.43±4.52 | 6.31±4.49 | 7.17±4.72 | 0.12 |
| NYHA Class III or IV | 482 (79.7) | 415 (81.9) | 67 (88.2) | 0.18 |
| Hypertension | 273 (45.1) | 236 (44.9) | 37 (46.8) | 0.74 |
| Diabetes mellitus | 114 (18.8) | 100 (19.0) | 14 (17.7) | 0.79 |
| COPD | 273 (45.1) | 234 (44.5) | 39 (49.4) | 0.42 |
| Coronary artery disease | 199 (32.9) | 164 (31.2) | 35 (44.3) | 0.02 |
| Myocardial infarction | 12 (2.0) | 11 (2.1) | 1 (1.3) | 0.95 |
| All percutaneous coronary intervention | 88 (14.5) | 79 (15.0) | 9 (11.4) | 0.39 |
| Cerebrovascular diseases | 146 (24.1) | 128 (24.3) | 18 (22.8) | 0.76 |
| Chronic kidney disease | 49 (8.1) | 45 (8.6) | 4 (5.1) | 0.29 |
| Dialysis | 4 (0.7) | 4 (0.8) | 0 (0.0) | 0.97 |
| Atrial fibrillation | 108 (17.9) | 95 (18.1) | 13 (16.5) | 0.73 |
| Cancer | 21 (3.5) | 18 (3.4) | 3 (3.8) | >0.99 |
| Concomitant AR ≥ mild | 197 (32.6) | 181 (34.4) | 16 (20.3) | 0.01 |
| Left ventricular ejection fraction, % | 56.34±14.38 | 56.37±14.10 | 56.15±16.20 | 0.91 |
| Aortic valve peak velocity, m/s | 4.90±0.74 | 4.91±0.73 | 4.80±0.75 | 0.24 |
| Mean transprosthetic gradients, mmHg | 60.34±18.69 | 60.70±18.44 | 57.95±20.23 | 0.22 |
Values are presented as n (%) or mean ± SD. AR, aortic regurgitation; BMI, body mass index; COPD, chronic obstructive pulmonary disease; HALT, hypoattenuated leaflet thickening; NYHA, New York Heart Association; SD, standard deviation; STS-PROM, Society of Thoracic Surgeons Predicted Risk of Mortality.
Procedural details and in-hospital outcomes
Table 2 presents a comparison of the procedural details and hospitalization outcomes between the HALT and non-HALT groups. In both groups, the primary valve type was the self-expandable valve (97.5% in the HALT group vs. 94.9% in the non-HALT group; P=0.51). The non-HALT group had a higher proportion of balloon postdilation procedures compared to the HALT group (48.3% vs. 34.2%; P=0.02). No significant differences were observed in intraoperative vascular complications or bleeding between the HALT and non-HALT groups. Overall, the HALT and non-HALT groups were similar in terms antiplatelet agent use (n=448, 85.2%; n=64, 81.0%; P=0.34) and anticoagulant use (n=108, 20.5%; n=19, 24.1%; P=0.47). Table S1 provides a comparison of the procedural details between the BAV and TAV groups.
Table 2
| Characteristics | All patients (N=605) | Non-HALT group (N=526) | HALT group (N=79) | P value |
|---|---|---|---|---|
| Transfemoral | 599 (99.0) | 521 (99.1) | 78 (98.7) | >0.99 |
| Predilation | 564 (93.2) | 488 (92.8) | 76 (96.2) | 0.72 |
| Self-expandable valve | 576 (95.2) | 499 (94.9) | 77 (97.5) | 0.51 |
| Venus-A | 389 (64.3) | 331 (62.9) | 58 (73.4) | 0.07 |
| CoreValve/Evolut Pro | 76 (12.6) | 70 (13.3) | 6 (7.6) | 0.15 |
| TaurusOne | 82 (13.6) | 70 (13.3) | 12 (15.2) | 0.65 |
| Vitaflow | 79 (13.1) | 28 (5.3) | 1 (1.3) | 0.20 |
| Bioprosthetic valve size, mm | ||||
| ≤23 | 144 (23.8) | 132 (25.1) | 12 (15.2) | 0.05 |
| >23, ≤26 | 301 (49.8) | 254 (48.3) | 47 (59.5) | 0.06 |
| >26, ≤29 | 135 (22.3) | 118 (22.4) | 17 (21.5) | 0.86 |
| >29 | 25 (4.1) | 22 (4.2) | 3 (3.8) | >0.99 |
| More than one valve implanted | 56 (9.3) | 52 (10.0) | 4 (5.2) | 0.17 |
| Postdilation | 281 (46.4) | 254 (48.3) | 27 (34.2) | 0.02 |
| Tamponade | 4 (0.7) | 4 (0.8) | 0 (0.0) | 0.97 |
| Major vascular complications | 48 (7.9) | 42 (8.0) | 6 (7.6) | 0.91 |
| Bleeding | 45 (8.6) | 38 (7.2) | 7 (8.9) | 0.61 |
| Coronary obstruction | 16 (2.3) | 15 (2.9) | 1 (1.3) | 0.66 |
| Pacemaker implantation | 140 (23.1) | 119 (22.6) | 21 (26.6) | 0.44 |
| Conversion to surgery | 0 (0) | 0 (0) | 0 (0) | – |
| Stroke | 5 (0.8) | 5 (0.9) | 0 (0.0) | >0.99 |
| Maximum aortic valve velocity, m/s | 2.39±0.52 | 2.42±0.54 | 2.20±0.35 | <0.001 |
| Mean transprosthetic gradients, mmHg | 13.83±6.53 | 14.21±6.72 | 11.39±4.37 | <0.001 |
| PVL greater than mild | 146 (24.1) | 138 (25.7) | 8 (10.1) | 0.002 |
| Discharge antiplatelet therapy | 512 (84.6) | 448 (85.2) | 64 (81.0) | 0.34 |
| Discharge anticoagulation | 117 (22.2) | 108 (20.5) | 19 (24.1) | 0.47 |
Values are presented as n (%) or mean ± SD. HALT, hypoattenuated leaflet thickening; PVL, paravalvular leak; SD, standard deviation.
Predictors of in-hospital HALT
As shown in Table 3, the variables with a P value <0.05 in the univariate logistic regression for in-hospital HALT included having BAV, age, BMI, having greater-than-mild aortic regurgitation, having CAD, having greater-than-mild paravalvular leak (PVL) and the use of balloon for postdilation during procedure. These results indicated that BAV is associated with a higher risk of early HALT after TAVR. Considering the impact of valve size on transprosthetic gradients and flow velocity, the bioprosthetic valve size >23 mm was included in the final model. Multivariate analysis showed that BAV was identified as an independent predictor of HALT [odds ratio (OR) =2.148; 95% confidence interval (CI): 1.283–3.596; P=0.004]. The other independent predictors included CAD, higher body mass index, postdilation, bioprosthetic valve size >23 mm, and the presence of a greater-than-mild PVL.
Table 3
| Characteristics | Univariate model | Multivariate model | |||
|---|---|---|---|---|---|
| OR (95% CI) | P value | OR (95% CI) | P value | ||
| Bicuspid aortic valve | 1.658 (1.023, 2.687) | 0.04 | 2.148 (1.283, 3.596) | 0.004 | |
| Sex | 0.687 (0.428, 1.104) | 0.12 | – | – | |
| Age | 1.040 (1.004, 1.078) | 0.03 | – | – | |
| BMI | 0.912 (0.849, 0.981) | 0.01 | 0.912 (0.846, 0.982) | 0.02 | |
| Creatinine | 0.802 (0.460, 1.398) | 0.44 | – | – | |
| STS-PROM score | 1.038 (0.990, 1.088) | 0.13 | – | – | |
| NYHA Class III or IV | 1.650 (0.794, 3.430) | 0.18 | – | – | |
| Coronary artery disease | 1.751 (1.083, 2.832) | 0.02 | 1.801 (1.091, 2.976) | 0.02 | |
| All percutaneous coronary intervention | 0.727 (0.349, 1.516) | 0.40 | – | – | |
| Atrial fibrillation | 0.894 (0.474, 1.686) | 0.73 | – | – | |
| AR greater than mild | 0.484 (0.272, 0.862) | 0.01 | – | – | |
| PVL greater than mild | 0.311 (0.146, 0.663) | 0.002 | 0.283 (0.130, 0.616) | 0.001 | |
| Postdilation | 0.556 (0.339, 0.913) | 0.02 | 0.552 (0.327, 0.934) | 0.03 | |
| Bioprosthetic valve size >23 mm | 3.716 (1.948, 7.082) | 0.05 | 1.965 (1.013, 3.813) | 0.05 | |
AR, aortic regurgitation; BMI, body mass index; CI, confidence interval; HALT, hypoattenuated leaflet thickening; NYHA, New York Heart Association; OR, odds ratio; PVL, paravalvular leak; STS-PROM, Society of Thoracic Surgeons Predicted Risk of Mortality; TAVR, transcatheter aortic valve replacement.
Outcomes of early HALT
Table 4 presents the clinical outcomes and hemodynamics parameters at 30 days and 1 year for patients with and without HALT. In the follow-up period, in-hospital HALT, as compared to no HALT, was not associated with 30-day mortality (n=1, 1.2%; n=8, 1.5%; P=0.86) or 1-year mortality (n=1, 1.2%; n=13, 2.5%; P=0.50). At 30 days, the HALT group, as compared to the non-HALT group, had a significantly lower aortic valve velocity (2.17±0.44 vs. 2.44±0.50 m/s; P<0.001) and mean transprosthetic pressure gradient (11.36±4.38 vs. 13.94±5.86 mmHg; P<0.001); at 1 year, the HALT group still had a lower aortic valve velocity (2.20±0.50 vs. 2.36±0.54 m/s; P=0.07) and mean transprosthetic gradient (11.36±6.06 vs. 13.02±6.84 mmHg; P=0.14), and there was no significant hemodynamic deterioration in either group during this period (Figure 3).
Table 4
| Characteristics | All patients (N=605) | Non-HALT group (N=526) | HALT group (N=79) | P value |
|---|---|---|---|---|
| 30-day follow-up | ||||
| 30-day stroke | 6 (1.0) | 6 (1.1) | 0 (0.0) | >0.99 |
| Mortality | 9 (1.5) | 8 (1.5) | 1 (1.2) | 0.86 |
| Maximum aortic valve velocity, m/s | 2.41±0.50 | 2.44±0.50 | 2.17±0.44 | 0.001 |
| Mean transprosthetic gradients, mmHg | 13.65±5.77 | 13.94±5.86 | 11.36±4.38 | 0.001 |
| 1-year follow-up | ||||
| 1-year stroke | 9 (1.5) | 9 (1.7) | 0 (0.0) | 0.61 |
| Mortality | 14 (2.3) | 13 (2.5) | 1 (1.2) | 0.50 |
| Maximum aortic valve velocity, m/s | 2.33±0.54 | 2.36±0.54 | 2.20±0.50 | 0.07 |
| Mean transprosthetic gradients, mmHg | 12.78±6.75 | 13.02±6.84 | 11.36±6.06 | 0.14 |
Values are presented as n (%) or mean ± SD. HALT, hypoattenuated leaflet thickening; SD, standard deviation.
Discussion
This study confirmed that the in-hospital incidence of subclinical leaflet thrombosis (HALT) after TAVR was 13.1%, aligning with the 10–20% range reported in previous studies (17-19). Notably, despite similar sample sizes, patients with BAV exhibited a significantly higher HALT incidence (15.9% vs. 10.2% in TAV patients, P=0.04). Multivariate regression analysis identified BAV as an independent predictor of early HALT, alongside lower BMI, having CAD, intraprocedural balloon postdilation, the use of bioprosthetic valve size >23 mm, and having moderate-to-severe PVL. While 30-day and 1-year all-cause mortality did not differ significantly between HALT and non-HALT groups, long-term outcomes of in-hospital HALT remain unaddressed and require extended follow-up.
The study’s strengths lie in its high proportion of BAV patients (49.9%), enabling targeted analysis of HALT risk in this population, and multivariate identification of novel predictors (e.g., PVL, valve size) for risk stratification. However, its retrospective design introduces susceptibility to selection bias. Diagnostic limitations include mismatched CT scan timing relative to HALT occurrence and reliance on MSCT without pathological confirmation. Additionally, short-term follow-up precluded evaluation of HALT’s long-term clinical and hemodynamic impacts.
As TAVR indications are expanding to include younger and lower-risk patients (20-22), the durability of THVs has gained increased attention (23). HALT, or subclinical valve thrombosis, typically appears as a crescent-shaped lesion, starting at the junction between the prosthetic valve leaflet and the valve scaffold, extending to the free edge of the leaflet, and gradually thinning (18). The underlying mechanism of HALT and its impact on clinical outcomes have been key areas of investigation. As a prethrombotic phenomenon, HALT impairs the opening and closing of the prosthetic valve leaflet, leading to functional stenosis. This can impact the long-term durability of THVs. HALT has been linked to valve dysfunction and an increased risk of clinical events, such as stroke and thromboembolism (24). Recent studies have shown that new oral anticoagulant therapy can effectively reduce valve thrombosis in patients undergoing TAVR as compared with current standard antiplatelet therapy, which may improve the long-term durability of THVs (25). Therefore, early identification and treatment of high-risk patients is essential. However, the incidence and severity of HALT vary significantly across studies, likely due to factors such as age, gender, surgical approach, and leaflet thickness (26,27). In our study, the incidence of in-hospital HALT was 13.1%, consistent with findings from previous studies (19,27). In our cohort, the incidence of BAV was 49.9%, and the incidence of HALT was significantly higher among patients with BAV patients than among those with TAV (15.9% vs. 10.2%; P=0.04). Moreover, BAV was identified as a risk factor for in-hospital HALT, which stands in stark contrast to the findings reported by Zhu et al. (12), who found that the incidence of HALT in patients with BAV and TAV did not significantly differ at 30 days or 1 year. This discrepancy is likely attributable to variations in the anatomical characteristics of the study populations, selection of devices, procedural approaches, and postoperative antithrombotic regimens. However, the underlying mechanisms need to be fully elucidated in further investigation.
BAV is a congenital anatomical anomaly often characterized by an oval annulus, severe valve calcification, asymmetric leaflets, and an enlarged ascending aorta. These factors increase the likelihood of improper prosthetic valve placement and poor stent expansion during TAVR in patients with BAV. In patients with BAV stenosis, severe calcification can lead to irregular areas around the valve frame when a prosthetic valve is implanted. This results in turbulent flow and fibrin deposition, significantly increasing the risk of thrombosis. Additionally, slow blood flow due to incomplete stent dilation or valve leaflet overhang can create a prothrombotic environment. A study on scaffold deformation during TAVR found that factors such as scaffold deformation, asymmetric leaflet unfolding, and small prosthetic sinus volume were independently linked to HALT (28). Another study confirmed that prostheses with underdilatation and eccentricity in patients with BAV represented the highest risk for HALT after 30 days (29).
The presence of CAD, particularly complex coronary lesions, negatively impacts survival after TAVR. In our study, 32.9% of patients with TAVR had CAD, and a significantly higher proportion patients in the HALT group had CAD. Clinical studies indicate that CAD notably increases mortality within 1 year after aortic stenosis-TAVR (30). Therefore, patients with TAVR and CAD should receive more careful consideration related to procedure management and treatment decisions. Analysis of baseline characteristics revealed that patients in the HALT group had a lower BMI. A systematic review and meta-analysis indicated that overweight and obese patients had a lower risk of TAVR-related mortality as compared to those with a normal BMI (31). However, it remains unclear whether this finding implies that patients in the HALT group are at higher risk of mortality, and this requires confirmation through long-term follow-up data with a larger sample size. We also observed that patients in the HALT group had lower aortic peak flow velocity, which may lead to perivalvular blood stasis and thus a greater susceptibility to HALT. PVL is a common complication following TAVR, typically occurring immediately after TAVR. Previous studies have demonstrated that moderate-to-severe PVL is strongly associated with poor prognosis, including higher mortality and increased risk of rehospitalization for heart failure (32). Although mild PVL is generally hemodynamically insignificant and does not require treatment, it has been associated with an increase in mortality at 5 years after TAVR (33). Interestingly, we found that greater-than-mild PVL was a protective factor against in-hospital HALT. When PVL occurs, the stent may not fully seal the stenotic valve orifice, annulus, or left ventricular outflow tract, leading to paravalvular regurgitation. This regurgitation may help reduce the occurrence of HALT by improving blood flow and preventing stasis around the prosthetic valve. However, the specific mechanism is still unclear and should be further explored in studies with larger sample sizes.
The balance between the benefits and risks of anticoagulation therapy for HALT remains a focus of contemporary research. In the study conducted by De Backer et al. (34), rivaroxaban was found to reduce the incidence of HALT; however, it also significantly increased mortality and major bleeding events within this patient population. Furthermore, the absence of a significant association between HALT and poor outcomes in this study suggests that routine anticoagulation for early HALT may not be warranted.
Chakravarty et al. (19) found that the presence of HALT was associated with valve hemodynamic abnormalities and an increased risk of clinical events, including stroke and thromboembolism. Another study reported there to be no link between HALT and mortality or cerebrovascular events over a median follow-up of more than 3 years. It did, however, find an association between HALT and symptomatic hemodynamic valve degeneration (10). In our study, there were no significant differences between the HALT and non-HALT groups in terms of vascular complications, bleeding, or stroke incidence. Additionally, mortality rates at both 30 days and 1 year were similar between the two groups. It is worth noting that both the aortic velocity and transprosthetic gradient at 30 days and 1-year postprocedure were significantly lower in the HALT group than in the non-HALT group. Consequently, the long-term durability of the prosthetic valve and hemodynamic alterations induced by HALT warrant further investigation through extended follow-up investigations.
Our study examined the incidence, predictive factors, and the importance of developing effective management and treatment strategies for in-hospital HALT after TAVR. Ongoing research on HALT, along with the development of advanced diagnostic techniques and a balanced treatment approach, is crucial to improving the long-term durability of THVs and optimizing patient outcomes. Further research is needed to fully characterize the mechanisms underlying the more frequent occurrence of HALT after TAVR in patients with BAV and to develop individualized treatments.
Conclusions
This study analyzed the predictors and outcomes of patients with early HALT after TAVR. The incidence of HALT in our study was 13.1%, with a higher frequency observed in the BAV population. BAV was independently associated with higher risk of early HALT after TAVR but did not seem to be linked to midterm hemodynamic and clinical outcomes. However, the underlying mechanisms and long-term prognosis of HALT after TAVR in patients with BAV should be investigated further.
Acknowledgments
None.
Footnote
Reporting Checklist: The authors have completed the STROBE reporting checklist. Available at https://cdt.amegroups.com/article/view/10.21037/cdt-2025-64/rc
Data Sharing Statement: Available at https://cdt.amegroups.com/article/view/10.21037/cdt-2025-64/dss
Peer Review File: Available at https://cdt.amegroups.com/article/view/10.21037/cdt-2025-64/prf
Funding: This work was supported by
Conflicts of Interest: All authors have completed the ICMJE uniform disclosure form (available at https://cdt.amegroups.com/article/view/10.21037/cdt-2025-64/coif). The authors have no conflicts of interest to declare.
Ethical Statement: The authors are accountable for all aspects of the work in ensuring that questions related to the accuracy or integrity of any part of the work are appropriately investigated and resolved. The study was conducted in accordance with the Declaration of Helsinki and its subsequent amendments. The study was approved by the Ethics Committee on Biomedical Research, West China Hospital of Sichuan University [No. 2021(824)]. All participants provided written informed consent.
Open Access Statement: This is an Open Access article distributed in accordance with the Creative Commons Attribution-NonCommercial-NoDerivs 4.0 International License (CC BY-NC-ND 4.0), which permits the non-commercial replication and distribution of the article with the strict proviso that no changes or edits are made and the original work is properly cited (including links to both the formal publication through the relevant DOI and the license). See: https://creativecommons.org/licenses/by-nc-nd/4.0/.
References
- Siontis GCM, Overtchouk P, Cahill TJ, et al. Transcatheter aortic valve implantation vs. surgical aortic valve replacement for treatment of symptomatic severe aortic stenosis: an updated meta-analysis. Eur Heart J 2019;40:3143-53. [Crossref] [PubMed]
- Mack MJ, Leon MB, Thourani VH, et al. Transcatheter Aortic-Valve Replacement in Low-Risk Patients at Five Years. N Engl J Med 2023;389:1949-60. [Crossref] [PubMed]
- Borger MA, Fedak PWM, Stephens EH, et al. The American Association for Thoracic Surgery consensus guidelines on bicuspid aortic valve-related aortopathy: Full online-only version. J Thorac Cardiovasc Surg 2018;156:e41-74. [Crossref] [PubMed]
- Zhou D, Yidilisi A, Fan J, et al. Three-year outcomes of transcatheter aortic valve implantation for bicuspid versus tricuspid aortic stenosis. EuroIntervention 2022;18:193-202. [Crossref] [PubMed]
- He J, Xiong TY, Yao YJ, et al. Outcomes Following Transcatheter Aortic Valve Replacement for Aortic Stenosis in Patients With Type 0 Bicuspid, Type 1 Bicuspid, and Tricuspid Aortic Valves. Circ Cardiovasc Interv 2023;16:e013083. [Crossref] [PubMed]
- Pache G, Schoechlin S, Blanke P, et al. Early hypo-attenuated leaflet thickening in balloon-expandable transcatheter aortic heart valves. Eur Heart J 2016;37:2263-71. [Crossref] [PubMed]
- Makkar RR, Fontana G, Jilaihawi H, et al. Possible Subclinical Leaflet Thrombosis in Bioprosthetic Aortic Valves. N Engl J Med 2015;373:2015-24. [Crossref] [PubMed]
- Makkar RR, Blanke P, Leipsic J, et al. Subclinical Leaflet Thrombosis in Transcatheter and Surgical Bioprosthetic Valves: PARTNER 3 Cardiac Computed Tomography Substudy. J Am Coll Cardiol 2020;75:3003-15. [Crossref] [PubMed]
- Apor A, Bartykowszki A, Szilveszter B, et al. Subclinical leaflet thrombosis after transcatheter aortic valve implantation is associated with silent brain injury on brain magnetic resonance imaging. Eur Heart J Cardiovasc Imaging 2022;23:1584-95. [Crossref] [PubMed]
- Hein M, Schoechlin S, Schulz U, et al. Long-Term Follow-Up of Hypoattenuated Leaflet Thickening After Transcatheter Aortic Valve Replacement. JACC Cardiovasc Interv 2022;15:1113-22. [Crossref] [PubMed]
- Garcia S, Fukui M, Dworak MW, et al. Clinical Impact of Hypoattenuating Leaflet Thickening After Transcatheter Aortic Valve Replacement. Circ Cardiovasc Interv 2022;15:e011480. [Crossref] [PubMed]
- Zhu G, Fan J, Zhou D, et al. Subclinical Leaflets Thrombosis After Transcatheter Replacement of Bicuspid vs. Tricuspid Aortic Valve. Front Cardiovasc Med 2021;8:790069. [Crossref] [PubMed]
- Liao YB, Zhao ZG, Wei X, et al. Transcatheter aortic valve implantation with the self-expandable venus A-Valve and CoreValve devices: Preliminary Experiences in China. Catheter Cardiovasc Interv 2017;89:528-33. [Crossref] [PubMed]
- Guo YK, Yang ZG, Shao H, et al. Right ventricular dysfunction and dilatation in patients with mitral regurgitation: analysis using ECG-gated multidetector row computed tomography. Int J Cardiol 2013;167:1585-90. [Crossref] [PubMed]
- Pache G, Blanke P, Zeh W, et al. Cusp thrombosis after transcatheter aortic valve replacement detected by computed tomography and echocardiography. Eur Heart J 2013;34:3546. [Crossref] [PubMed]
- Otto CM, Nishimura RA, Bonow RO, et al. 2020 ACC/AHA Guideline for the Management of Patients With Valvular Heart Disease: Executive Summary: A Report of the American College of Cardiology/American Heart Association Joint Committee on Clinical Practice Guidelines. Circulation 2021;143:e35-71. [Crossref] [PubMed]
- Yanagisawa R, Hayashida K, Yamada Y, et al. Incidence, Predictors, and Mid-Term Outcomes of Possible Leaflet Thrombosis After TAVR. JACC Cardiovasc Imaging 2016;S1936-878X(16)30897-X.
- Karády J, Apor A, Nagy AI, et al. Quantification of hypo-attenuated leaflet thickening after transcatheter aortic valve implantation: clinical relevance of hypo-attenuated leaflet thickening volume. Eur Heart J Cardiovasc Imaging 2020;21:1395-404. [Crossref] [PubMed]
- Chakravarty T, Søndergaard L, Friedman J, et al. Subclinical leaflet thrombosis in surgical and transcatheter bioprosthetic aortic valves: an observational study. Lancet 2017;389:2383-92. [Crossref] [PubMed]
- Kolte D, Vlahakes GJ, Palacios IF, et al. Transcatheter Versus Surgical Aortic Valve Replacement in Low-Risk Patients. J Am Coll Cardiol 2019;74:1532-40. [Crossref] [PubMed]
- Forrest JK, Deeb GM, Yakubov SJ, et al. 2-Year Outcomes After Transcatheter Versus Surgical Aortic Valve Replacement in Low-Risk Patients. J Am Coll Cardiol 2022;79:882-96. [Crossref] [PubMed]
- Mehaffey JH, Kawsara M, Jagadeesan V, et al. Surgical versus transcatheter aortic valve replacement in low-risk Medicare beneficiaries. J Thorac Cardiovasc Surg 2025;169:866-875.e6. [Crossref] [PubMed]
- Ternacle J, Hecht S, Eltchaninoff H, et al. Durability of transcatheter aortic valve implantation. EuroIntervention 2024;20:e845-64. [Crossref] [PubMed]
- Cartlidge TRG, Doris MK, Sellers SL, et al. Detection and Prediction of Bioprosthetic Aortic Valve Degeneration. J Am Coll Cardiol 2019;73:1107-19. [Crossref] [PubMed]
- Montalescot G, Redheuil A, Vincent F, et al. Apixaban and Valve Thrombosis After Transcatheter Aortic Valve Replacement: The ATLANTIS-4D-CT Randomized Clinical Trial Substudy. JACC Cardiovasc Interv 2022;15:1794-804. [Crossref] [PubMed]
- Samadzadeh Tabrizi N, Fishberger G, Musuku SR, et al. Hypoattenuated Leaflet Thickening: A Comprehensive Review of Contemporary Data. J Cardiothorac Vasc Anesth 2024;38:2761-9. [Crossref] [PubMed]
- Salah HM, Almaddah N, Xu J, et al. Gender Differences and Outcomes of Hypoattenuated Leaflet Thickening (HALT) Following Transcatheter Aortic Valve Replacement: A Meta-analysis of Randomized and Cohort Studies. Curr Probl Cardiol 2023;48:101155. [Crossref] [PubMed]
- Fukui M, Bapat VN, Garcia S, et al. Deformation of Transcatheter Aortic Valve Prostheses: Implications for Hypoattenuating Leaflet Thickening and Clinical Outcomes. Circulation 2022;146:480-93. [Crossref] [PubMed]
- Nagasaka T, Patel V, Shechter A, et al. Impact of Balloon-Expandable TAVR Valve Deformation and Calcium Distribution on Outcomes in Bicuspid Aortic Valve. JACC Cardiovasc Interv 2024;17:2023-37. [Crossref] [PubMed]
- Sankaramangalam K, Banerjee K, Kandregula K, et al. Impact of Coronary Artery Disease on 30-Day and 1-Year Mortality in Patients Undergoing Transcatheter Aortic Valve Replacement: A Meta-Analysis. J Am Heart Assoc 2017;6:e006092. [Crossref] [PubMed]
- Seo J, Li W, Safiriyu I, et al. A Meta-Analysis on the Impact of High BMI in Patients Undergoing Transcatheter Aortic Valve Replacement. J Cardiovasc Dev Dis 2022;9:386. [Crossref] [PubMed]
- Zito A, Buono A, Scotti A, et al. Incidence, Predictors, and Outcomes of Paravalvular Regurgitation After TAVR in Sievers Type 1 Bicuspid Aortic Valves. JACC Cardiovasc Interv 2024;17:1652-63. [Crossref] [PubMed]
- Van Mieghem NM, Deeb GM, Søndergaard L, et al. Self-expanding Transcatheter vs Surgical Aortic Valve Replacement in Intermediate-Risk Patients: 5-Year Outcomes of the SURTAVI Randomized Clinical Trial. JAMA Cardiol 2022;7:1000-8. [Crossref] [PubMed]
- De Backer O, Dangas GD, Jilaihawi H, et al. Reduced Leaflet Motion after Transcatheter Aortic-Valve Replacement. N Engl J Med 2020;382:130-9. [Crossref] [PubMed]

