Cardiac magnetic resonance-derived left heart parameters in pulmonary hypertension: diagnostic and prognostic value—a narrative review
Introduction
Background
Pulmonary hypertension (PH) arises from structural or functional pulmonary vascular changes, increasing pulmonary vascular resistance (PVR) and pulmonary artery pressure (PAP), ultimately causing right heart failure or death (1). The 2022 European Society of Cardiology (ESC)/European Respiratory Society (ERS) Guidelines define PH hemodynamically as mean PAP (mPAP) >20 mmHg via right heart catheterization (RHC) (2). Although it is rare, PH is fatal, presenting with symptoms such as dyspnea, chest pain, and syncope, and imposes a significant global disease burden (3).
Diagnostic and therapeutic assessment tools for PH include RHC, two-dimensional echocardiography, computed tomography pulmonary arteriography (CTPA), cardiac magnetic resonance (CMR), etc. RHC is the gold standard for diagnosing and classifying PH; however, RHC is invasive and lacks imaging of perivascular structures (2). With the rapid development of imaging technology, multimodal imaging provides a reference for the management of PH. It has shown significant value in diagnosing, assessing efficacy, predicting prognosis, and stratifying risk for PH. Two-dimensional echocardiography is an important screening tool for people with suspected PH due to its affordability, convenience, accessibility, and noninvasiveness; however, the measurement of its parameters is operator-dependent and inevitably being subjective, with poor accuracy and repeatability, and therefore has limitations in the application of PH (4). CTPA is also a common imaging modality for the assessment of PH, which can provide simultaneous information on lung structure, pulmonary vasculature, and the indirect signs of cardiac involvement due to elevated pulmonary arterial pressure (5). It is valuable in the diagnosis of chronic thromboembolic PH (CTEPH) because it can show chronic thrombus in the pulmonary arteries; however, CTPA is not capable of performing hemodynamic assessment and is associated with radiation exposure, and its clinical application is limited by the risk of nephrotoxicity of the contrast medium and allergy.
As a one-stop modality for evaluating cardiac morphology, function, myocardial tissue characteristics, and hemodynamic information, CMR offers excellent spatial and temporal resolution, as well as radiation-free and non-invasive benefits, making it an ideal tool for noninvasive diagnosis, efficacy assessment, and prognostic evaluation of PH (6,7).
Right ventricular (RV) function is of paramount importance in prognostic assessment in PH (8-12). RV dysfunction affects left ventricular (LV) function through ventricular interaction in PH (13,14). The proposed mechanisms include: increased RV afterload, reducing RV cardiac output, elevated RV pressure, and prolonged contraction causing leftward interventricular septal shift during LV filling, impairing LV filling and preload, leading to LV systolic dysfunction. Subsequent coronary hypoperfusion causes inadequate ventricular myocyte oxygenation, further reducing contractility (15-17).
Ventricular interdependence can induce atrophic remodeling of the LV myocardium in pulmonary arterial hypertension (PAH) (18,19). Reductions in LV strain and LV strain rate are the result of LV myocardial injury in patients with PH (13). A PAH study confirmed this, showing that PAH patients had smaller LV cardiomyocyte cross-sectional areas and significantly lower myosin and troponin phosphorylation levels in LV cardiomyocytes (20). Several animal studies of PAH demonstrated increased collagen content and fibrosis in the LV of PAH rats (19,21,22), potentially explaining why LV myocardial mass (LVMM) remains relatively unchanged despite myocardial atrophy in PAH patients. In addition, ventricular interdependence can further cause left heart electrophysiological remodeling, followed by electromechanical dyssynchrony in patients with PH. RV remodeling is induced in the setting of chronic RV overload, which can result in slowed excitatory conduction and prolonged action potentials in cardiomyocytes, leading to prolonged RV contraction duration and delayed peak RV myocardial shortening, and therefore interventricular mechanical dyssynchrony (23,24), and this interventricular mechanical dyssynchrony decreases LV filling and LV stroke volume (LVSV) (25).
Objective
PH patients exhibit left heart-associated alterations, which may be intimately related to the pathophysiologic mechanisms of PH and the poor prognosis. Even though the left heart is becoming increasingly neglected in the management of PH, existing studies have paid less attention to the morphology and function of the left heart in patients with PH. Currently, a comprehensive review on the diagnostic and prognostic value of CMR-derived left heart parameters in PH is lacking. Therefore, this review aims to summarize the role of CMR-derived LV parameters—encompassing morphology, function, and tissue characteristics—in diagnosing, classifying, and predicting outcomes across PH subtypes, thereby providing further insights for clinical management (Table 1). We present this article in accordance with the Narrative Review reporting checklist (available at https://cdt.amegroups.com/article/view/10.21037/cdt-2025-332/rc).
Table 1
| Parameters | The classification of PH | Key points |
|---|---|---|
| LAV | IPAH, PH-HFpEF, CTEPH | LAV <43 mL/m2 distinguished IPAH and PH-HFpEF with an AUC of 0.99 (sensitivity 97%, specificity 100%) (26) |
| The AUC for LAV to distinguish between pre-PH and post-PH was 0.96 (27) | ||
| LAVi is an independent predictor of mortality in CTEPH patients after PEA (28) | ||
| LVEDVi | PH, IPAH, PAH | LVEDVi >107.7 mL/m2 was a significant predictor of PH in severe AS (AUC =0.957, sensitivity 100%, specificity 87%) (29) |
| LVEDVi ≤40 mL/m2 was significantly associated with a decreased 1-year survival in IPAH (9) | ||
| The reduced LVEDVi is associated with an increased risk of all-cause mortality in PAH (30) | ||
| LVMMi | IPAH, PH | LVMMi was a predictor of the risk of heart failure readmission in patients with IPAH, and lower LVMMi had a significantly higher risk of MACE (31,32) |
| Systolic LVEI | Pre-PH, PH | The sensitivity and specificity for identifying pre-PH with a systolic LVEI >1.2 were 70% and 94%, respectively, with an AUC of 0.87 (33) |
| The AUC for systolic LVEI to identify PH in untreated CHD patients was 0.90 (cutoff 1.52, sensitivity 73%, specificity 93%, accuracy 89%) (34) | ||
| Systolic LVEI is a potential predictor of graft-free survival in children with IPAH/hereditary PH (35) | ||
| LAEFactive | PH-HF | LAEFactive ≤8.6% was an independent predictor of adverse events in patients with PH-LHD (36) |
| LA active strain, LA storage strain, LA conduction strain | PH-HF, pre-PH | LA active strain is an independent predictor of PH-LHD (37) |
| LA storage strain and LA conduction strain were significantly lower in pre-PH patients compared with healthy volunteers, and these changes are closely associated with abnormal LV diastolic function and may serve as markers for early detection of declining LV function (38) | ||
| LV-AVPD | PAH | LV-AVPD was significantly correlated with LV-GLS and LAVmax, and was significantly decreased in PAH patients compared with healthy controls (39) |
| Lower LV-AVPD is associated with lower graft-free survival and is a predictor of poor prognosis in PAH (40) | ||
| LV strain, LV radial strain rate, LV circumferential strain rate, LV-GLS | PH, PAH, pre-PH, post-PH | LV strain was significantly lower in patients with PH and PAH than in the healthy population (41-43) |
| The AUC of LV radial strain rate and LV circumferential strain rate differentiating pre-PH and post-PH were 0.813 and 0.791, respectively (44) | ||
| LV-GLS >−14.2% is a robust predictor of mortality in pre-PH patients (45) | ||
| LVEF | PH | LVEF is an independent predictor of prognosis in PH (36,46,47) |
| LVSV, LVSVi | IPAH, PAH | LVSV and LVSVi were able to predict poor regression in patients with IPAH, PAH (48,49) |
| RVEDA/LVEDA | Pre-PH | RVEDA/LVEDA >0.96 had an AUC of 0.93 for diagnosing pre-PH, with a sensitivity of 75% and a specificity of 100% (33) |
| VMI | PAH, PH, CTD-PAH, IPAH, CHD-PH | VMI ≥0.45 had a sensitivity of 85% and a specificity of 82% for the diagnosis of PAH (50) |
| A model for predicting mPAP based on VMI, septal angle, and black blood slow flow score parameters has an AUC of 0.95 for diagnosing PH (51) | ||
| VMI is significantly associated with mortality in CTD-PAH (50) | ||
| Ventricular septal angle | Cpc-PH, PH-HFpEF | The AUC for ventricular septal angle prediction of Cpc-PH was 0.911 (52) |
| Ventricular septal angle is an independent predictor of mortality in PH-HFpEF (53) | ||
| CMR prognostic model based on ventricular septal angle and VMI predicts mortality in PH-HFpEF with an AUC of 0.76 (53) | ||
| Duration of septal LV displacement | Pre-PH | Duration of septal LV displacement is an independent predictor of clinical deterioration of the disease in pre-PH patients (54) |
| Ventricular septal curvature | PH | Ventricular septal curvature was significantly correlated with PASP (r=0.77), and PASP may be higher than 67 mmHg when the septum is curved to the left (55) |
| LV fibrosis area | – | Compared with AS patients, the area of LV fibrosis is significantly higher in patients with AS combined with PH (56) |
| RVT2/LVT2, RVT1/LVT1 | CTEPH | RVT2/LVT2 was significantly reduced and RVT1/LVT1 was significantly elevated in patients with CTEPH compared to the healthy population (57) |
| RVT2/LVT2 was significantly higher in CTEPH patients after PEA than before (58) | ||
| LV T1 native mapping | IpcPH | LV T1 native mapping >1,050 ms are significantly associated with adverse cardiovascular events in IpcPH (59) |
| LV LGE | – | LV LGE significantly associated with poorer left heart function (60) |
| Global ECV | PH | Significantly higher global ECV in PH patients compared to non-PH population (60) |
| LV dyssynchronization | PAH, IPAH | Intraventricular dyssynchrony in the LV free wall correlated with electrical dyssynchrony (z score >2) (61) |
| The CMR parameter LV end-diastolic longitudinal strain rate peak time standard deviation <20.01 ms, used to measure LV dyssynchrony, was an independent predictor of poor prognosis in PAH (49) | ||
| LV dyssynchrony was positively correlated with IPAH disease severity, and this parameter was also significantly correlated with RV function (62) | ||
| LV radial dyssynchrony is an independent prognostic predictor of IPAH (62) | ||
| LV IVPG | Pre-PH | LV IVPG was significantly associated with known markers of diastolic function (42) |
AS, aortic stenosis; AUC, area under the curve; CHD-PH, congenital heart disease pulmonary hypertension; CMR, cardiac magnetic resonance; Cpc-PH, combined pre-capillary pulmonary hypertension and post-capillary pulmonary hypertension; CTD-PAH, connective tissue disease-associated pulmonary arterial hypertension; CTEPH, chronic thromboembolic pulmonary hypertension; ECV, extracellular volume fraction; IPAH, idiopathic pulmonary arterial hypertension; IpcPH, isolated postcapillary pulmonary hypertension; IVPG, intraventricular pressure gradient; LA, left atrial; LAEFactive, left atrial active ejection fraction; LAV, left atrial volume; LAVi, left atrial volume index; LAVmax, maximum left atrial volume; LGE, late gadolinium enhancement; LV, left ventricular; LV-AVPD, left atrioventricular plane displacement; LVEDVi, left ventricular end-diastolic volume index; LVEF, left ventricular ejection fraction; LVEI, left ventricular eccentricity index; LV-GLS, left ventricular global longitudinal strain; LVMMi, left ventricular myocardial mass index; LVSV, left ventricular stroke volume; LVSVi, left ventricular stroke volume index; MACE, major adverse cardiovascular events; mPAP, mean pulmonary artery pressure; PAH, pulmonary arterial hypertension; PASP, pulmonary artery systolic pressure; PEA, pulmonary endarterectomy; PH, pulmonary hypertension; PH-HF, pulmonary hypertension due to heart failure; PH-HFpEF, pulmonary hypertension due to heart failure with preserved ejection fraction; PH-LHD, pulmonary hypertension due to left heart disease; post-PH, postcapillary pulmonary hypertension; pre-PH, precapillary pulmonary hypertension; RV, right ventricular; RVEDA/LVEDA, right ventricular end-diastolic ventricular area to left ventricular end-diastolic ventricular area; RVT1/LVT1, right ventricular/left ventricular blood pool T1 ratio; RVT2/LVT2, right ventricular/left ventricular blood pool T2 ratio; VMI, ventricular mass index.
Methods
This narrative review aimed to summarize the diagnostic, classificatory, and prognostic value of CMR-derived left heart parameters in PH. A broad literature search strategy was developed to identify relevant studies.
Literature search strategy
We searched the PubMed and China National Knowledge Infrastructure (CNKI) databases for records from January 2000 to December 2024. No language restrictions were applied. The search employed a combination of subject headings and free-text terms. In PubMed, medical subject headings (MeSH) and their corresponding free-text terms related to “pulmonary hypertension”, “cardiac magnetic resonance”, “left ventricle”, “left atrium”, “diagnosis”, and “prognosis” were utilized. Corresponding Chinese keywords were used for the CNKI database. Initial screening was performed by reviewing titles and abstracts, followed by full-text assessment to determine the final literature included for discussion in this review. Details of the search strategy are provided in Table 2.
Table 2
| Items | Specification |
|---|---|
| Date of search | 15 December 2024 |
| Databases searched | PubMed and CNKI |
| Search terms used | MeSH: “pulmonary hypertension”, “cardiac magnetic resonance”, “left ventricle”, “left atrium”, “diagnosis”, and “prognosis” |
| Free-text search terms: “pulmonary hypertension”, “pulmonary arterial hypertension”, “pulmonary hypertension due to left heart disease”, “pulmonary hypertension due to lung diseases and/or hypoxia”, “chronic thromboembolic pulmonary hypertension”, “precapillary pulmonary hypertension”, “postcapillary pulmonary hypertension”, “cardiac magnetic resonance”, “left ventricular”, “left atrial”, “ventricular interdependence”, “diagnosis”, and “prognosis” | |
| Filters: human, full text, clinical trial, retrospective study, case report, animal experimental research | |
| Timeframe | January 2000 to December 2024 |
| Inclusion criteria | Clinical trials, retrospective studies, case-control studies, animal experimental research, case reports related to PH |
| Language restriction: none | |
| Selection process | A literature search was independently conducted by two researchers (G.L. and H.Y.) to identify relevant published studies. Any disagreements regarding study inclusion were resolved through discussion or, when necessary, by consulting a third researcher (I.C.) for final adjudication |
CNKI, China National Knowledge Infrastructure; MeSH, medical subject headings; PH, pulmonary hypertension.
Left heart morphological parameters in PH
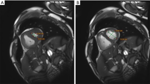
Left atrial volume (LAV), calculated as LAV = (0.848 × area4ch × area2ch)/[length4ch + length2ch)/2] (Figure 1A,1B), reflects LV diastolic dysfunction (63,64). LAV effectively differentiates PAH from PH due to left heart disease (PH-LHD). The area under the curve (AUC) for distinguishing idiopathic PAH (IPAH) from PH due to heart failure with preserved ejection fraction (PH-HFpEF) with LAV <43 mL/m2 was 0.99 (sensitivity 97%, specificity 100%) (26). In addition, LAV also performed well in classifying precapillary PH (pre-PH) and postcapillary PH (post-PH) (27), with an AUC of 0.96. Apart from the diagnostic and classification value, LAV has shown to be of great clinical importance in predicting the prognosis of PH. A study showed that LAV index (LAVi) was an independent predictor of mortality in CTEPH patients undergoing pulmonary endarterectomy (PEA), highlighting the importance of evaluating left heart structures in CTEPH patients undergoing PEA (28).
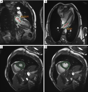
LV structure (Figure 1C,1D) has also shown significant value in PH management. A study of PH in 30 patients with aortic stenosis (AS) found that the LV end-diastolic volume index (LVEDVi) >107.7 mL/m2 was a significant predictor of PH in severe AS (AUC 0.957, sensitivity 100%, specificity 87%) (29). In addition, LVEDVi has shown a prognostic correlation with PAH. van Wolferen et al. (9) showed that LVEDVi ≤40 mL/m2 was significantly associated with decreased 1-year survival in IPAH, suggesting its utility as a follow-up indicator. A prognostic analysis of 576 PAH patients by Swift et al. (30) also confirmed that reduced LVEDVi is associated with increased all-cause mortality risk in PAH.
The prognostic value of LVMM in PH has also been reported. Yamada et al. (31) found that LVMM index (LVMMi), LV end-systolic volume (LVESV), and LV end-diastolic volume (LVEDV) were predictors of the risk of hospitalization for right heart failure in IPAH. A study of 87 PH patients confirmed this finding (32). Compared to the no major adverse cardiovascular events (MACE) group, PH patients with lower LVMM have a higher risk of MACE.
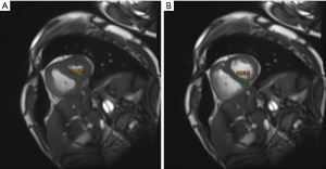
The LV eccentricity index (LVEI) reflects the degree of LV deformation and is defined as the ratio of the anteroposterior diameter to the septal-free wall diameter of the LV (34,35,65) (Figure 2A,2B). Systolic LVEI showed a good ability to diagnose pre-PH, with an AUC of 0.87 for systolic LVEI >1.2 (sensitivity 70%, specificity 94%) (33). At a discrimination threshold yielding 73% sensitivity and 93% specificity, systolic LVEI showed high diagnostic accuracy (AUC =0.90, overall accuracy 89%) for identifying PH in untreated congenital heart disease (CHD) patients (34). Interestingly, systolic LVEI was higher in patients with CHD combined with RV myocardial fibrosis (34), which implies that this parameter may predict RV myocardial fibrosis. In addition to its diagnostic and classificatory value, LVEI also has prognostic value in PH. A study that included 38 pediatric PH patients demonstrated that both systolic and diastolic LVEI predicted graft-free survival in children with IPAH/hereditary PH (35), indicating its potential for risk stratification in pediatric PAH.
Left heart functional parameters in PH
Left atrial active ejection fraction (LAEFactive), calculated as LAEFactive = (pre-systolic volume of the left atrium − minimum volume of the left atrium) × 100%/left atrial pre-systolic volume (36), reflects left heart filling pressures and compliance. A retrospective study of 174 patients with PH-LHD found that each 1% increase in LAEFactive was associated with a 20% reduction in the risk of adverse prognosis in PH-LHD, and LAEFactive ≤8.6% was an independent predictor of adverse events in PH-LHD (36).
Left atrial strain reflects the passive dilatation and blood conduction function of the left atrium, comprising three distinct components: (I) total strain (storage function); (II) passive strain (conduit function); and (III) active strain (contractile function). A study demonstrated left atrial active strain was an independent predictor of PH in left heart failure, which reveals that it is valuable in the early identification of PH-LHD and that it may be useful as an imaging marker reflecting LV dysfunction (37). Furthermore, it has been shown (38) that left atrial storage strain and conduction strain were significantly lower in pre-PH patients compared with healthy volunteers, indicating that the passive dilatation and blood conduction of the left atrial are impaired in pre-PH, and that these changes are closely related to LV diastolic dysfunction, which may be a marker for the early detection of LV functional decline.
Left atrioventricular plane displacement (LV-AVPD) reflects LV function, defined as the displacement of the eight points of the atrioventricular junction during the cardiac cycle. A study by Sjögren et al. (39) found that LV-AVPD was significantly correlated with LV global longitudinal strain (LV-GLS) and maximum LAV. Notably, PAH patients exhibit reduced LAV, LV volumes, and LV-AVPD compared to healthy controls, which may imply that impaired LV function in PAH may be associated with reduced LAV and LV volume rather than organic damage to the left heart. Furthermore, LV-AVPD demonstrates prognostic value, based on a key finding that decreased LV-AVPD predicts reduced graft-free survival and poor prognosis in PAH (40).
LV strain, quantified through CMR feature tracking, measures myocardial deformation by tracking endocardial and epicardial contours throughout the cardiac cycle, and it is typically calculated as the ratio of the change in the length of each myocardial segment during the cardiac cycle to its original length (41,44). Multiple studies consistently demonstrate significantly impaired LV strain in PH and PAH patients compared to healthy controls (41-43), which implies that reduced LV strain may allow early identification of impaired LV systolic function prior to LV ejection fraction (LVEF) decline. Importantly, LV-GLS was a robust predictor of mortality in patients with pre-PH, and was significantly lower in those with poor prognosis compared to those without adverse outcomes (45). The LV strain rate, a derived parameter of LV strain, was computed as the ratio of LV strain to time and showed excellent discriminative capacity for PH classification, with AUCs of 0.813 (LV radial strain rate) and 0.791 (LV circumferential strain rate) for distinguishing pre-PH from post-PH (44).
It is well known that LVEF and LVSV are crucial parameters for assessing LV systolic function and are routinely available from CMR. Previous studies have confirmed that LVEF is an independent predictor of PH prognosis (36,46,47). Swift et al. (48) found that LVSV corrected for age, sex, and body surface area predicted poor outcomes in IPAH, with subsequent validation of its prognostic utility across PAH patients (49).
LV and RV interdependence in PH
The RV end-diastolic ventricular area to LV end-diastolic ventricular area (RVEDA/LVEDA), a promising and easily derived metric from the standard four-chamber view of the CMR (Figure 3), holds significant diagnostic value in PH. At a cutoff >0.96, this parameter demonstrates 75% sensitivity and 100% specificity for detecting pre-PH, with an AUC of 0.93 (33).
The ventricular mass index (VMI), defined as the ratio of RV mass to LVMM, demonstrates robust diagnostic and prognostic utility in PH. VMI showed good correlation with mPAP (50,66,67), and VMI ≥0.45 for diagnosing PAH showed 85% sensitivity and 82% specificity (50). Apart from its effectiveness as a standalone PH diagnostic, VMI performs well in diagnostic modeling. A study with 97 non-PH populations and 506 PH patients developed a model predicting mPAP based on VMI, septal angle, and black blood slow-flow score, achieving an AUC of 0.95 for diagnosing PH (51). In predicting prognosis, Rajaram et al. demonstrated a significant correlation between VMI and mortality in connective tissue disease-associated PAH (CTD-PAH) [hazard ratio (HR) =5.56, P=0.013] (50).
The interventricular septal angle, the angle between the apex of the ventricular septum and the upper and lower insertion points of the ventricular septum (68) (Figure 4A,4B), serves as both a diagnostic and prognostic marker in PH. A study has shown (52) that interventricular septal angle predicts combined pre-PH and post-PH with an AUC of 0.911. In addition, the interventricular septal angle predicts all-cause mortality in PH, which is of prognostic value. It was shown (53) that the interventricular septal angle was an independent predictor of mortality in PH-HFpEF (HR =1.48, P<0.001), and the resulting CMR prognostic model, which was based on interventricular septal angle and VMI, predicted mortality in patients with PH-HFpEF with an AUC of 0.76 (P<0.001).
Other parameters reflecting septal deformation include septal LV displacement duration and septal curvature. Septal LV displacement duration is defined as the proportion of cardiac cycle frames showing leftward septal deviation, which was confirmed to be an independent predictor of clinical worsening in patients with pre-PH (54). A study of 37 patients with suspected PH showed (55) that septal curvature was significantly correlated with pulmonary artery systolic pressure (PASP) (r=0.77, P<0.001). When the interventricular septum is curved to the left, PASP may be higher than 67 mmHg.
Myocardial fibrosis in PH
CMR parameters to assess left heart tissue characterization include LV fibrotic area measured by late gadolinium enhancement (LGE), T1 mapping, T2 mapping, and extracellular volume fraction (ECV) (56). It showed that the degree of LV fibrosis confirmed by endomyocardial biopsy was correlated with PH in AS. However, endomyocardial biopsy is an invasive procedure, and LGE sequences of CMR are capable of assessing LV fibrosis noninvasively. Compared with AS patients, the area of LV fibrosis is significantly higher in patients with AS combined with PH (56). Studies have shown (57) that the RV/LV blood pool T2 ratio (RVT2/LVT2) was significantly lower, and the RV/LV blood pool T1 ratio (RVT1/LVT1) was elevated in CTEPH patients compared to the healthy population. RVT2/LVT2 was negatively correlated with PVR (r=−0.506) and positively correlated with cardiac index (r=0.521), superior vena cava oxygen saturation (r=0.564), right atrial oxygen saturation (r=0.603), RV oxygen saturation (r=0.648), and pulmonary arterial oxygen saturation (r=0.582), thus showing that the novel parameter RVT2/LVT2 is valuable in assessing disease severity in CTEPH. Roller et al. (58) found that RVT2/LVT2 was significantly higher than preoperative in CTEPH patients after PEA, suggesting its potential as a novel noninvasive metric for predicting the prognosis, follow-up, and efficacy assessment of CTEPH patients. A study by Cerne et al. (59) demonstrated that a T1 native mapping >1,050 ms in the LV was significantly associated with adverse cardiovascular events in patients with isolated post-PH. CMR-based myocardial histologic parameters may improve the understanding of cardiac involvement in PH, and studies have confirmed (60) that LV LGE is significantly associated with poorer LV function, and that patients with PH have significantly higher ECV and T1 native mapping compared with the non-PH population.
Ventricular dyssynchrony in PH
The standard deviation of the time to peak strain or strain rate in different segments of the myocardium was defined as ventricular dyssynchrony (61,62,69,70). LV free wall intraventricular dyssynchrony was found to correlate with electrical dyssynchrony (z-score >2) in children with PAH (61). The circumferential strain of the LV free wall was significantly lower in children who were electrically dyssynchronised. LV synchrony assessed by CMR may be useful in the detection of pathophysiological processes related to PAH and disease progression of PAH (61). Li et al. demonstrated that the CMR parameter used to measure LV dyssynchrony, LV longitudinal end-diastolic strain rate peak time standard deviation <20.01 ms, is an independent predictor of poor prognosis in patients with PAH (49). In addition, LV dyssynchrony was also positively correlated with IPAH severity, and patients with more severe disease showed more severe intra-LV dyssynchrony, and this parameter was also significantly correlated with right heart function (62). After adjusting for confounders, LV radial dyssynchrony showed independent predictive prognostic value in IPAH, and these findings suggest that LV dyssynchronization is an incremental prognostic predictor of IPAH (62).
LV intraventricular pressure gradient (IVPG) in PH
Early detection of abnormal LV function in PH is a challenge. The LV IVPG, a novel marker, noninvasively identifies subtle LV functional changes in pre-PH patients. The LV IVPG was reflected by the pattern of specific waves at different phases of the cardiac cycle. The study showed (42) that diastolic suction and E-wave deceleration reflecting LV IVPG were significantly lower in patients with pre-PH compared with healthy volunteers, suggesting impaired LV passive filling in patients with pre-PH. In addition, the study found that LV IVPG was significantly correlated with known markers of diastolic function, which could effectively reflect the diastolic function abnormalities in patients with pre-PH. The emergence of LV IVPG provides new insights for the diagnosis and treatment of pre-PH.
Discussion and summary
Study limitations
Although existing studies have preliminarily revealed the value of CMR-derived left heart parameters in evaluating different types of PH, certain limitations remain in their research designs. First, the diagnostic performance (e.g., high AUC values) of CMR parameters reported in some studies may be overestimated, potentially due to single-center, retrospective designs, overfitting, and lack of external validation. In these single-center, retrospective studies, enrolled patients are often strictly selected. While such homogeneous cohorts can highlight the association between CMR parameters and PH, they may overestimate the discriminative ability of these parameters in real-world, heterogeneous populations. Concurrently, the absence of an external validation set means that internal validation may yield excellent performance within the original dataset, posing a risk of overfitting. Furthermore, current evidence is heavily concentrated on patients with PAH and PH-LHD. In-depth exploration and validation of CMR left heart parameters in other subtypes, such as PH due to lung diseases and/or hypoxia and CTEPH, are notably insufficient, which inevitably limits the broader applicability of the conclusions. Finally, standardization in the analysis of CMR left heart parameters requires strengthening. The primary source of variation in CMR parameter thresholds lies in image post-processing and analysis. Differences in software algorithms—such as those used by various feature-tracking software for LV strain analysis, manual endocardial contouring by operators, or automated contouring by different post-processing platforms—can introduce systematic biases in measurements. These non-standardized post-processing approaches lead to discrepancies in reported parameter thresholds across studies, thereby hindering direct comparison and integration of findings from different centers. Future large-scale, multicenter, prospective studies are warranted to more rigorously validate the currently proposed CMR parameter thresholds.
Key findings
This review classifies and integrates CMR-derived left heart parameters according to their morphological, functional, and tissue-characteristic features. It particularly emphasizes the diagnostic, classificatory, and prognostic value of various CMR left heart parameters across different PH subtypes (e.g., PAH, PH-LHD, CTEPH, pre-PH, post-PH), thereby providing robust evidence to support the application of these parameters in PH. Furthermore, this article delves into the underlying pathophysiological mechanisms of left heart alterations in PH patients. It elaborates on how mechanisms such as ventricular interdependence-mediated septal displacement, LV cardiomyocyte atrophy and fibrosis, and biventricular electromechanical dyssynchrony lead to secondary changes in left heart morphology, function, and tissue characteristics. By linking CMR left heart parameters to the pathophysiology of PH, this work offers a novel perspective for understanding the process of LV remodeling during PH progression.
Conclusions
Available studies suggest that left heart dysfunction due to adverse interventricular interactions is a major pathophysiologic component of PAH disease progression. In this paper, we summarize the value of CMR-based parameters of left heart morphology, functionality, and tissue characterization in different classifications of PH, to provide a reference basis for the use of left heart parameters in the diagnosis and classification of PH, the assessment of disease severity, and prognosis prediction. It cannot be ruled out that the left heart has an undeniable value in the PH. However, the current application of CMR parameters in PH still faces the challenges of insufficient standardization and lack of multicenter validation, and the thresholds of each parameter, especially the novel parameters, have not been unified, and multicenter, larger, and more rigorous studies are needed in the future to determine the parameter thresholds and to broaden the scope of the application of the left heart parameters in PH. In addition, the existing studies mainly focus on PAH, and in the future, we need to further explore the value of left heart parameters in other categories of PH and the value of left heart multiparameter models in the diagnosis, classification, risk stratification, and efficacy monitoring of PH. The combination of CMR with artificial intelligence (AI) and LV hemodynamic assessment is a new direction for future research, and we look forward to the development of AI models and new imaging sequences in CMR, such as four-dimensional (4D) flow, to provide more accurate assessment of LV hemodynamics and more precise prediction of the classification and prognosis of PH.
Acknowledgments
None.
Footnote
Reporting Checklist: The authors have completed the Narrative Review reporting checklist. Available at https://cdt.amegroups.com/article/view/10.21037/cdt-2025-332/rc
Peer Review File: Available at https://cdt.amegroups.com/article/view/10.21037/cdt-2025-332/prf
Funding: This research was supported by
Conflicts of Interest: All authors have completed the ICMJE uniform disclosure form (available at https://cdt.amegroups.com/article/view/10.21037/cdt-2025-332/coif). X.L. reports the funding from the General Program of National Natural Science Foundation of China (Nos. 82370389, 81970339) and the National High Technology Research and Development Program of China (No. 2017YFC1700505). The other authors have no conflicts of interest to declare.
Ethical Statement: The authors are accountable for all aspects of the work in ensuring that questions related to the accuracy or integrity of any part of the work are appropriately investigated and resolved. All CMR images used in this review were derived from fully anonymized patient data. The acquisition and use of these images were in accordance with the principles of the Declaration of Helsinki and its subsequent amendments. This study was approved by the Ethics Committee of the First Affiliated Hospital of Nanjing Medical University (No. 2022-SR-506). Furthermore, written informed consent for the publication of the anonymized images was obtained from all participating patients.
Open Access Statement: This is an Open Access article distributed in accordance with the Creative Commons Attribution-NonCommercial-NoDerivs 4.0 International License (CC BY-NC-ND 4.0), which permits the non-commercial replication and distribution of the article with the strict proviso that no changes or edits are made and the original work is properly cited (including links to both the formal publication through the relevant DOI and the license). See: https://creativecommons.org/licenses/by-nc-nd/4.0/.
References
- Homsi R, Luetkens JA, Skowasch D, et al. Left Ventricular Myocardial Fibrosis, Atrophy, and Impaired Contractility in Patients With Pulmonary Arterial Hypertension and a Preserved Left Ventricular Function: A Cardiac Magnetic Resonance Study. J Thorac Imaging 2017;32:36-42. [Crossref] [PubMed]
- Humbert M, Kovacs G, Hoeper MM, et al. 2022 ESC/ERS Guidelines for the diagnosis and treatment of pulmonary hypertension. Eur Heart J 2022;43:3618-731. [Crossref] [PubMed]
- GBD 2021 Pulmonary Arterial Hypertension Collaborators. Global, regional, and national burden of pulmonary arterial hypertension, 1990-2021: a systematic analysis for the Global Burden of Disease Study 2021. Lancet Respir Med 2025;13:69-79. [PubMed]
- Brugger N, Lichtblau M, Maeder M, et al. Two-dimensional transthoracic echocardiography at rest for the diagnosis, screening and management of pulmonary hypertension. Swiss Med Wkly 2021;151:w20486. [Crossref] [PubMed]
- Remy-Jardin M, Ryerson CJ, Schiebler ML, et al. Imaging of Pulmonary Hypertension in Adults: A Position Paper from the Fleischner Society. Radiology 2021;298:531-49. [Crossref] [PubMed]
- Wang Y, Zhao S, Lu M. State-of-the Art Cardiac Magnetic Resonance in Pulmonary Hypertension - An Update on Diagnosis, Risk Stratification and Treatment. Trends Cardiovasc Med 2024;34:161-71. [Crossref] [PubMed]
- Shafeghat M, Raza Y, Catania R, et al. State of the Art in Pulmonary Arterial Hypertension: Molecular Basis, Imaging Modalities, and Right Heart Failure Treatment. Biomedicines 2025;13:1773. [Crossref] [PubMed]
- Dawes TJW, Cai J, Quinlan M, et al. Fractal Analysis of Right Ventricular Trabeculae in Pulmonary Hypertension. Radiology 2018;288:386-95. [Crossref] [PubMed]
- van Wolferen SA, Marcus JT, Boonstra A, et al. Prognostic value of right ventricular mass, volume, and function in idiopathic pulmonary arterial hypertension. Eur Heart J 2007;28:1250-7. [Crossref] [PubMed]
- Lewis RA, Johns CS, Cogliano M, et al. Identification of Cardiac Magnetic Resonance Imaging Thresholds for Risk Stratification in Pulmonary Arterial Hypertension. Am J Respir Crit Care Med 2020;201:458-68. [Crossref] [PubMed]
- Dong Y, Pan Z, Wang D, et al. Prognostic Value of Cardiac Magnetic Resonance-Derived Right Ventricular Remodeling Parameters in Pulmonary Hypertension: A Systematic Review and Meta-Analysis. Circ Cardiovasc Imaging 2020;13:e010568. [Crossref] [PubMed]
- Simpson CE, Damico RL, Kolb TM, et al. Ventricular mass as a prognostic imaging biomarker in incident pulmonary arterial hypertension. Eur Respir J 2019;53:1802067. [Crossref] [PubMed]
- Burkett DA, Slorach C, Patel SS, et al. Left Ventricular Myocardial Function in Children With Pulmonary Hypertension: Relation to Right Ventricular Performance and Hemodynamics. Circ Cardiovasc Imaging 2015;8:e003260. [Crossref] [PubMed]
- Burkett DA, Slorach C, Patel SS, et al. Impact of Pulmonary Hemodynamics and Ventricular Interdependence on Left Ventricular Diastolic Function in Children With Pulmonary Hypertension. Circ Cardiovasc Imaging 2016;9:e004612. [Crossref] [PubMed]
- Colunga A, Carlson BE, Olufsen MS. The importance of incorporating ventricular-ventricular interaction (VVI) in the study of pulmonary hypertension. Math Biosci 2024;375:109242. [Crossref] [PubMed]
- Brauchlin AE, Soccal PM, Rochat T, et al. Severe left ventricular dysfunction secondary to primary pulmonary hypertension: bridging therapy with bosentan before lung transplantation. J Heart Lung Transplant 2005;24:777-80. [Crossref] [PubMed]
- Fang H, Wang J, Shi R, et al. Biventricular Dysfunction and Ventricular Interdependence in Patients With Pulmonary Hypertension: A 3.0-T Cardiac MRI Feature Tracking Study. J Magn Reson Imaging 2024;60:350-62. [Crossref] [PubMed]
- Ichimura K, Santana EJ, Kuznetsova T, et al. Novel left ventricular mechanical index in pulmonary arterial hypertension. Pulm Circ 2023;13:e12216. [Crossref] [PubMed]
- de Man FS, Handoko ML, van Ballegoij JJ, et al. Bisoprolol delays progression towards right heart failure in experimental pulmonary hypertension. Circ Heart Fail 2012;5:97-105. [Crossref] [PubMed]
- Manders E, Bogaard HJ, Handoko ML, et al. Contractile dysfunction of left ventricular cardiomyocytes in patients with pulmonary arterial hypertension. J Am Coll Cardiol 2014;64:28-37. [Crossref] [PubMed]
- Handoko ML, de Man FS, Happé CM, et al. Opposite effects of training in rats with stable and progressive pulmonary hypertension. Circulation 2009;120:42-9. [Crossref] [PubMed]
- Nielsen EA, Okumura K, Sun M, et al. Regional septal hinge-point injury contributes to adverse biventricular interactions in pulmonary hypertension. Physiol Rep 2017;5:e13332. [Crossref] [PubMed]
- Marcus JT, Gan CT, Zwanenburg JJ, et al. Interventricular mechanical asynchrony in pulmonary arterial hypertension: left-to-right delay in peak shortening is related to right ventricular overload and left ventricular underfilling. J Am Coll Cardiol 2008;51:750-7. [Crossref] [PubMed]
- Hardziyenka M, Campian ME, Bouma BJ, et al. Right-to-left ventricular diastolic delay in chronic thromboembolic pulmonary hypertension is associated with activation delay and action potential prolongation in right ventricle. Circ Arrhythm Electrophysiol 2009;2:555-61. [Crossref] [PubMed]
- Hsia HH, Haddad F. Pulmonary hypertension: a stage for ventricular interdependence? J Am Coll Cardiol 2012;59:2203-5. [Crossref] [PubMed]
- Crawley SF, Johnson MK, Dargie HJ, et al. LA volume by CMR distinguishes idiopathic from pulmonary hypertension due to HFpEF. JACC Cardiovasc Imaging 2013;6:1120-1. [Crossref] [PubMed]
- Leong K, Howard L, Lo Giudice F, et al. MRI Feature Tracking Strain in Pulmonary Hypertension: Utility of Combined Left Atrial Volumetric and Deformation Assessment in Distinguishing Post- From Pre-capillary Physiology. Front Cardiovasc Med 2022;9:787656. [Crossref] [PubMed]
- Shahin Y, Alabed S, Rehan Quadery S, et al. CMR Measures of Left Atrial Volume Index and Right Ventricular Function Have Prognostic Value in Chronic Thromboembolic Pulmonary Hypertension. Front Med (Lausanne) 2022;9:840196. [Crossref] [PubMed]
- Gumauskiene B, Padervinskiene L, Vaskelyte JJ, et al. Left Ventricular Morphology and Function as a Determinant of Pulmonary Hypertension in Patients with Severe Aortic Stenosis: Cardiovascular Magnetic Resonance Imaging Study. Medicina (Kaunas) 2019;55:711. [Crossref] [PubMed]
- Swift AJ, Capener D, Johns C, et al. Magnetic Resonance Imaging in the Prognostic Evaluation of Patients with Pulmonary Arterial Hypertension. Am J Respir Crit Care Med 2017;196:228-39. [Crossref] [PubMed]
- Yamada Y, Okuda S, Kataoka M, et al. Prognostic value of cardiac magnetic resonance imaging for idiopathic pulmonary arterial hypertension before initiating intravenous prostacyclin therapy. Circ J 2012;76:1737-43. [Crossref] [PubMed]
- Ren W, Guo JJ, Yang F, et al. Indication of the prognosis of pulmonary hypertension by using CMR function parameters. Eur Radiol 2021;31:7121-31. [Crossref] [PubMed]
- Creuzé N, Hoette S, Montani D, et al. Usefulness of Cardiovascular Magnetic Resonance Indices to Rule In or Rule Out Precapillary Pulmonary Hypertension. Can J Cardiol 2015;31:1469-76. [Crossref] [PubMed]
- Yamasaki Y, Nagao M, Kamitani T, et al. Clinical impact of left ventricular eccentricity index using cardiac MRI in assessment of right ventricular hemodynamics and myocardial fibrosis in congenital heart disease. Eur Radiol 2016;26:3617-25. [Crossref] [PubMed]
- Haarman MG, Coenraad I, Hagdorn QAJ, et al. Cardiac Magnetic Resonance Derived Left Ventricular Eccentricity Index and Right Ventricular Mass Measurements Predict Outcome in Children with Pulmonary Arterial Hypertension. Children (Basel) 2023;10:756. [Crossref] [PubMed]
- Zhou D, Li X, Xu J, et al. Active left atrial ejection fraction as a non-invasive marker in pulmonary hypertension secondary to heart failure. J Cardiovasc Magn Reson 2024;26:101105. [Crossref] [PubMed]
- Jia H, Qian W, Zhu XM, et al. Value of cardiac magnetic resonance feature tracking in the evaluation of patients with pulmonary hypertension due to left heart failure. Chinese Journal of Magnetic Resonance Imaging 2024;15:72-8, 93.
- Vos JL, Leiner T, van Dijk APJ, et al. Cardiovascular magnetic resonance-derived left ventricular intraventricular pressure gradients among patients with precapillary pulmonary hypertension. Eur Heart J Cardiovasc Imaging 2022;24:78-87. [Crossref] [PubMed]
- Sjögren H, Kjellström B, Bredfelt A, et al. Underfilling decreases left ventricular function in pulmonary arterial hypertension. Int J Cardiovasc Imaging 2021;37:1745-55. [Crossref] [PubMed]
- Lindholm A, Kjellström B, Seemann F, et al. Atrioventricular plane displacement and regional function to predict outcome in pulmonary arterial hypertension. Int J Cardiovasc Imaging 2022;38:2235-48. [Crossref] [PubMed]
- Kallianos K, Brooks GC, Mukai K, et al. Cardiac Magnetic Resonance Evaluation of Left Ventricular Myocardial Strain in Pulmonary Hypertension. Acad Radiol 2018;25:129-35. [Crossref] [PubMed]
- Cao J, Li S, Cui L, et al. Biventricular Myocardial Strain Analysis in Patients with Pulmonary Arterial Hypertension Using Cardiac Magnetic Resonance Tissue-Tracking Technology. J Clin Med 2022;11:2230. [Crossref] [PubMed]
- Venkateshvaran A, Bohlin J, Kjellström B, et al. Left ventricular dysfunction in pulmonary arterial hypertension is attributed to underfilling rather than intrinsic myocardial disease: a CMR 2D phase contrast study. Sci Rep 2024;14:17280. [Crossref] [PubMed]
- Lin K, Sarnari R, Pathrose A, et al. Cine MRI detects elevated left heart pressure in pulmonary hypertension. J Magn Reson Imaging 2021;54:275-83. [Crossref] [PubMed]
- Padervinskienė L, Krivickienė A, Hoppenot D, et al. Prognostic Value of Left Ventricular Function and Mechanics in Pulmonary Hypertension: A Pilot Cardiovascular Magnetic Resonance Feature Tracking Study. Medicina (Kaunas) 2019;55:73. [Crossref] [PubMed]
- Altmayer SPL, Han QJ, Addetia K, et al. Using all-cause mortality to define severe RV dilation with RV/LV volume ratio. Sci Rep 2018;8:7200. [Crossref] [PubMed]
- Wu YW, Hsu PY, Lin YH, et al. Diagnostic and Prognostic Implications of Exercise Treadmill and Rest First-Pass Radionuclide Angiography in Patients With Pulmonary Hypertension. Clin Nucl Med 2017;42:e392-9. [Crossref] [PubMed]
- Swift AJ, Rajaram S, Campbell MJ, et al. Prognostic value of cardiovascular magnetic resonance imaging measurements corrected for age and sex in idiopathic pulmonary arterial hypertension. Circ Cardiovasc Imaging 2014;7:100-6. [Crossref] [PubMed]
- Li W, Zhang XC, Qian YL, et al. Biventricular intraventricular mechanical and electrical dyssynchrony in pulmonary arterial hypertension. Heliyon 2024;10:e23352. [Crossref] [PubMed]
- Rajaram S, Swift AJ, Capener D, et al. Comparison of the diagnostic utility of cardiac magnetic resonance imaging, computed tomography, and echocardiography in assessment of suspected pulmonary arterial hypertension in patients with connective tissue disease. J Rheumatol 2012;39:1265-74. [Crossref] [PubMed]
- Johns CS, Kiely DG, Rajaram S, et al. Diagnosis of Pulmonary Hypertension with Cardiac MRI: Derivation and Validation of Regression Models. Radiology 2019;290:61-8. [Crossref] [PubMed]
- Johns CS, Wild JM, Rajaram S, et al. Identifying At-Risk Patients with Combined Pre- and Postcapillary Pulmonary Hypertension Using Interventricular Septal Angle at Cardiac MRI. Radiology 2018;289:61-8. [Crossref] [PubMed]
- Garg P, Lewis RA, Johns CS, et al. Cardiovascular magnetic resonance predicts all-cause mortality in pulmonary hypertension associated with heart failure with preserved ejection fraction. Int J Cardiovasc Imaging 2021;37:3019-25. [Crossref] [PubMed]
- Mouratoglou SA, Kallifatidis A, Pitsiou G, et al. Duration of interventricular septal shift toward the left ventricle is associated with poor clinical outcome in precapillary pulmonary hypertension: A cardiac magnetic resonance study. Hellenic J Cardiol 2020;61:112-7. [Crossref] [PubMed]
- Roeleveld RJ, Marcus JT, Faes TJ, et al. Interventricular septal configuration at mr imaging and pulmonary arterial pressure in pulmonary hypertension. Radiology 2005;234:710-7. [Crossref] [PubMed]
- Gumauskiene B, Drebickaite E, Pangonyte D, et al. The association of left ventricular histologically verified myocardial fibrosis with pulmonary hypertension in severe aortic stenosis. Perfusion 2023;38:165-71. [Crossref] [PubMed]
- Deng M, Liu A, Xu W, et al. Right and left ventricular blood pool T2 ratio on cardiac magnetic resonance imaging correlates with hemodynamics in patients with pulmonary hypertension. Insights Imaging 2023;14:66. [Crossref] [PubMed]
- Roller FC, Schüßler A, Kremer N, et al. Value of Right and Left Ventricular T1 and T2 Blood Pool Mapping in Patients with Chronic Thromboembolic Hypertension before and after Balloon Pulmonary Angioplasty. J Clin Med 2023;12:2092. [Crossref] [PubMed]
- Cerne JW, Shehata C, Ragin A, et al. Potential Prognostic Value of Native T1 in Pulmonary Hypertension Patients. Life (Basel) 2023;13:775. [Crossref] [PubMed]
- Cerne JW, Pathrose A, Sarnari R, et al. Left Ventricular Fibrosis Assessment by Native T1, ECV, and LGE in Pulmonary Hypertension Patients. Diagnostics (Basel) 2022;13:71. [Crossref] [PubMed]
- Schäfer M, Collins KK, Browne LP, et al. Effect of electrical dyssynchrony on left and right ventricular mechanics in children with pulmonary arterial hypertension. J Heart Lung Transplant 2018;37:870-8. [Crossref] [PubMed]
- Jayasekera G, Macdonald A, Mccomb C, et al. Left ventricular dysfunction and intra-ventricular dyssynchrony in idiopathic pulmonary arterial hypertension. Int J Cardiol 2022;365:131-9. [Crossref] [PubMed]
- Zhuang B, Li S, Xu J, et al. Age- and Sex-Specific Reference Values for Atrial and Ventricular Structures in the Validated Normal Chinese Population: A Comprehensive Measurement by Cardiac MRI. J Magn Reson Imaging 2020;52:1031-43. [Crossref] [PubMed]
- Whitlock M, Garg A, Gelow J, et al. Comparison of left and right atrial volume by echocardiography versus cardiac magnetic resonance imaging using the area-length method. Am J Cardiol 2010;106:1345-50. [Crossref] [PubMed]
- Barnet IR, Schulz NE, Ghelani SJ, et al. Wide variation in shape of hypoplastic left ventricles undergoing recruitment and biventricular repair: A statistical shape modeling study. J Cardiovasc Magn Reson 2025;27:101131. [Crossref] [PubMed]
- Alabed S, Alandejani F, Dwivedi K, et al. Validation of Artificial Intelligence Cardiac MRI Measurements: Relationship to Heart Catheterization and Mortality Prediction. Radiology 2022;305:68-79. [Crossref] [PubMed]
- Zhang Z, Wang M, Yang Z, et al. Noninvasive prediction of pulmonary artery pressure and vascular resistance by using cardiac magnetic resonance indices. Int J Cardiol 2017;227:915-22. [Crossref] [PubMed]
- Swift AJ, Rajaram S, Hurdman J, et al. Noninvasive estimation of PA pressure, flow, and resistance with CMR imaging: derivation and prospective validation study from the ASPIRE registry. JACC Cardiovasc Imaging 2013;6:1036-47. [Crossref] [PubMed]
- Badagliacca R, Reali M, Poscia R, et al. Right Intraventricular Dyssynchrony in Idiopathic, Heritable, and Anorexigen-Induced Pulmonary Arterial Hypertension: Clinical Impact and Reversibility. JACC Cardiovasc Imaging 2015;8:642-52. [Crossref] [PubMed]
- Li Y, Liu X, Xu Y, et al. The Prognostic Value of Left Ventricular Mechanical Dyssynchrony Derived from Cardiac MRI in Patients with Idiopathic Dilated Cardiomyopathy. Radiol Cardiothorac Imaging 2021;3:e200536. [Crossref] [PubMed]

