Small vessel disease in chronic thromboembolic pulmonary hypertension: a comprehensive narrative review of multimodality imaging evaluation
Introduction
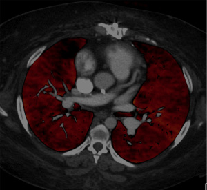
Chronic thromboembolic pulmonary hypertension (CTEPH) is a rare form of pulmonary hypertension (PH) that results from unresolved organized thromboemboli in the pulmonary arterial tree and is often precipitated by an acute pulmonary embolic event (1). Currently classified as Group 4 in the World Health Organization’s clinical classification of PH (2), CTEPH is characterized by thrombotic obstruction of pulmonary artery (PA) and subsequent vascular remodeling, leading to increased pulmonary vascular resistance (PVR) and eventual development of PH. The exact pathobiological mechanisms leading to CTEPH are still not completely elucidated. While predisposing conditions such as malignancy, chronic inflammatory disease, pacing wires and ventriculo-atrial shunts, antiphospholipid antibodies, splenectomy, thrombophilic disorder, and non-O blood group are known to increase the risk for CTEPH development, the exact transition from acute pulmonary embolism (PE) event to subsequent CTEPH development is still not fully understood (3). A unique feature of CTEPH is the development of secondary microvascular or small vessel disease (SVD). It is well known that microvascular disease is associated with poor surgical outcomes and persistent PH post-surgery (3). Imaging has proven to be transformative in diagnosis and treatment of CTEPH, with modalities such as ventilation-perfusion (V/Q) scanning and computed tomography angiography (CTA) being the mainstays in establishing the diagnosis (Figure 1). While macrovascular disease is well evaluated with imaging, preoperative evaluation of SVD still remains a diagnostic challenge. Many indirect findings on imaging studies can point to the presence of SVD although direct mapping of SVD still remains the holy grail in the management of CTEPH patients. This focused review aims to provide insights into imaging of SVD in the setting of CTEPH and highlight the challenges and future possibilities. We present this article in accordance with the Narrative Review reporting checklist (available at https://cdt.amegroups.com/article/view/10.21037/cdt-2025-1-652/rc).
Methods
A broad electronic search was performed primarily using PubMed/MEDLINE and Scopus, with supplementary screening of references from relevant articles. The search strategy combined controlled vocabulary and free-text terms related to CTEPH, microvasculopathy or SVD, and imaging modalities. We focused mainly on recent literature published within the last 10 years, while selectively including a few earlier studies when essential for context. Only English-language publications were included, and priority was given to peer-reviewed articles. Eligible study designs comprised prospective and retrospective cohort studies, cross-sectional imaging studies, case-control studies, systematic reviews, and technically focused imaging papers; case series were included when they provided meaningful radiological characterization of microvascular disease. The identified studies were narratively synthesized with emphasis on imaging modality, radiologic patterns of microvascular involvement, and their clinical and pathophysiological relevance in CTEPH (Table 1).
Table 1
| Items | Specification |
|---|---|
| Date of search | January 02, 2025–January 02, 2026 |
| Databases and other sources searched | PubMed/MEDLINE/Scopus |
| Search terms used | CTEPH, chronic thromboembolic pulmonary hypertension, microvasculopathy, small vessel disease, imaging, CT, MRI, DECT, CTA |
| Timeframe | Mainly focused on literature published within the last 10 years |
| Inclusion criteria | Only English-language publications were included, and priority was given to peer-reviewed articles. Eligible study designs comprised prospective and retrospective cohort studies, cross-sectional imaging studies, case-control studies, systematic reviews, and technically focused imaging papers; case series were included when they provided meaningful radiological characterization of microvascular disease |
| Selection process | All authors conducted independently and then combined |
CT, computed tomography; CTA, computed tomography angiography; CTEPH, chronic thromboembolic pulmonary hypertension; DECT, dual-energy computed tomography; MRI, magnetic resonance imaging.
Pathophysiology of SVD in CTEPH
As noted above, the pathophysiology in CTEPH is complex; several questions remain unanswered such as why some patients do not have prior history of acute PE (4). In this context, CTEPH has been described as a “two-vessel compartment model” with a large vessel component caused by chronic unresolved clot and a small vessel microvasculopathy (4). First described by Moser and Bloor, SVD in CTEPH is marked by complex alterations in the pulmonary microvasculature similar to idiopathic PA hypertension (5). These changes include intimal fibrosis, plexiform lesions and obliteration of arterioles, which collectively increase PVR. Notably, these microvascular changes are not limited to the regions distal to thromboembolic occlusion but can also affect unobstructed areas, suggesting a global pulmonary vascular response (4,5). In some cases, distal thrombosis involving the microvasculature is also seen that can be diffuse; this is typically seen in those patients where bronchial collaterals and anastomoses fail to develop (4).
Clinical relevance of SVD
Currently the main treatment options for CTEPH patients include surgical pulmonary thromboendarterectomy (PTE) for proximal fibrotic lesions and interventional balloon pulmonary angioplasty (BPA) for more distal organized clots. Presence of SVD and its preprocedural assessment is crucial since it is a predictor of residual or persistent PH after success full PTE (3,6). Extensive SVD has also been suspected in patients that exhibit residual PH after multiple repeated BPA sessions and described as an independent factor contributing to worst prognosis (3). The hemodynamic impact of SVD has also been evaluated by PA occlusion technique using to estimate effective pulmonary capillary pressure. Based on the PA decay curve, it estimates pulmonary capillary pressure, which allows PVR to be separated into upstream resistance—attributable to organized proximal fibrotic thrombi—and downstream resistance, reflecting distal microvasculopathy. Gerges et al. showed that downstream resistance correlated with histomorphometric indices of small-vessel disease, establishing this invasive technique as gold standard for microvasculopathy diagnosis. Furthermore, the group provided further evidence that a lower preoperative upstream resistance was an independent predictor of more extensive microvascular disease, associated with persistent PH and higher mortality following PTE (3).
Radiological assessment of SVD
Clinically, presence of SVD in CTEPH patients is suspected when there is discrepancy in the extent of the mechanical obstruction by proximal fibrotic clots and the degree of increase in PVR. The extent of mechanical obstruction in the large pulmonary arteries can be evaluated using V/Q scanning, which is typically used as the first line imaging exam in evaluation of intermediate to high probability CTEPH patients. In large vessel disease related to CTEPH, one or more mismatched defects are classically seen (6). Further evaluation of the presence of mechanical obstruction can also be comprehensively assessed by CTA, that demonstrates a spectrum of lesions such as organized thrombi lining in the proximal pulmonary vessels, abrupt tapering of vessels, or intraluminal fibrous webs (7,8). In computed tomography (CT) assessment of SVD, one of the typical findings include presence of mosaic attenuation. However, this finding alone is nonspecific and can be associated with a multitude of associated vascular and airway diseases. Often, multiple imaging tools need to be utilized to identify potential patients with SVD.
V/Q scanning
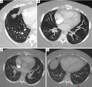
V/Q scintigraphy remains the initial test of choice for diagnosis of CTEPH. Ease of availability, extensive validation and high sensitivity are some of the obvious advantages that make V/Q scanning a robust tool for diagnosis of CTEPH (7). Early studies have shown that V/Q scanning is more sensitive than CTA in diagnosis of CTEPH (7). While this might have changed over the years with newer and improved CT scanning tools, there is no doubt that V/Q scan offers a quick way to diagnose CTEPH. Typically characterized by large, mismatched perfusion defects, a normal scan effectively rules out CTEPH. V/Q scan is not without limitations and false positive defects can be seen with numerous other conditions such as vasculitis, fibrosing mediastinitis and neoplastic lesions such as sarcoma. In one study on 150 patients comparing various V/Q scanning techniques with CTA (9), both V/Q scanning techniques were more sensitive [V/Q single-photon emission computed tomography (SPECT): 85%, P<0.001 vs. CTA: 67%; V/Q planar scintigraphy: 83%, P<0.001 vs. CTA: 67%], and less specific (V/Q planar scintigraphy: 51%, P=0.03 vs. CTA: 60%; V/Q SPECT: 42%, P<0.01 vs. CTA: 60%) than was CTA for segmental analysis. Poor subpleural perfusion (PSP) in the capillary phase of pulmonary angiography is considered one of the direct imaging signs of underlying SVD (10) (Figure 2). This finding can be evaluated with V/Q scanning although can be limited with planar imaging due to shine-through effect as well as due to limitations in spatial resolution. As noted above, SVD is suspected in patients with discordant imaging and hemodynamic findings. This has also been shown with V/Q scanning; in one study on 76 patients, it was shown that CTEPH patients had higher mean pulmonary arterial pressure (mPAP) and total pulmonary resistance (TPR) as compared to patients with acute PE for similar degrees of vascular obstruction as measured on V/Q scanning (11). Another longitudinal analysis of V/Q scans in patients with unoperated CTEPH has shown that the classic findings of segmental mismatched perfusion defects change progressively over time and evolve into a more homogenous perfusion pattern, something that can be attributed to development of secondary microvasculopathy (12).
CTA
CTA is an established frontline imaging in evaluation of CTEPH. Excellent spatial resolution, high contrast-to-noise ratio, and detailed assessment of pulmonary arteries down to the subsegmental levels are some of the advantages that make CTA a premier tool in evaluation of CTEPH. Another advantage of CTA is the ability to simultaneously evaluate alternate causes of perfusion defects, thus limiting the differential diagnoses. CTA is the test of choice for anatomic mapping of disease and characterization of CTEPH lesions, which can help in surgical planning or targeting lesions for BPA. One of the limitations of CTA is that CTEPH lesions can be subtle and can be missed if not carefully evaluated; this has accounted for lower sensitivity of CTA in CTEPH detection as compared to V/Q scanning (9). CTA offers several insights into evaluation of SVD, although none are specific. One of the commonly used marker is the presence of mosaic attenuation. This is a nonspecific finding in isolation, although associated findings such as segmental vessel caliber reduction, presence of bronchial artery and systemic collaterals and parenchymal densities point to CTEPH as likely cause (13) (Figure 3). In context of CTEPH, mosaic attenuation also termed as “mosaic perfusion” refers to patchwork of increased CT attenuation (reflecting redistributed vascular flow) and decreased CT attenuation (which are areas of obstructed vessels or microvessel disease). Newer tools such as photon counting CT can provide further insights into evaluation of mosaic perfusion. In a small study on 29 CTEPH patients with mosaic perfusion evaluated with photon counting CT (14), significant differences in the diameters of the most distal pulmonary vessels were noted with higher frequency of dilated arterioles (91.9%) and venules (70.9%) in areas of ground-glass opacity (GGO), while thin arterioles (69.8%) and venules (55.8%) were the dominant findings in areas of hypoattenuation. In areas of GGO, findings similar to Group 1 PH were seen such as ill-defined micronodules, and areas of lobular GGO. Systemic-to-pulmonary anastomoses were depicted more frequently in the periphery of hypoattenuated areas (36%) versus hyperattenuated areas (25.6%) (Figure 3); these have been shown to be contributors to SVD (14). Presence of bronchial artery (BA) collaterals is known to be associated with a good postoperative response and likely represents a protective response in maintaining the viability of lung parenchyma distal to the PA occlusive lesions (15). In a study by Shimizu et al., total cross-sectional area of BA measured with CTA correlated with extent of central disease, and the area was significantly higher than in patients with distal microvascular disease (16). Quantitative CTA assessment of small vessels can provide functional insights for CTEPH patients and might help identify patients with SVD, although data is sparse. Shahin et al. evaluated different subgroups of PH using quantitative CT and found that patients with CTEPH had reduced volume of peel vessels and small vessel volume correlated with pulmonary function tests (17).
Dual-energy CT (DECT)
DECT has revolutionized the imaging of CTEPH over the last decade. Using differences in iodine attenuation over different kilovoltages, DECT allows quantification of iodine within a voxel of lung tissue, termed as “perfused blood volume (PBV)”. Studies have shown PBV to be a good surrogate marker of lung perfusion (18). By allowing assessment of anatomic and perfusion information on a single scan, DECT has emerged as one of the frontline tools for assessment of CTEPH. Several studies have shown that perfusion information from DECT correlates with hemodynamic parameters and can help in prediction of post-operative outcomes (19-21). Qualitative assessment of PBV images can help identify areas of PSP and potentially identify patients with microvasculopathy (Figure 4). In a study 93 patients evaluated with DECT, pulmonary perfusion of blood volume in the normally perfused group showed an inverse correlation with PVR, while that of patients in the poorly perfused group did not. Patients with PSP on DECT had a lower diffusing capacity of the lungs for carbon monoxide (DLCO), which might be the strongest predictor of microvasculopathy including diffuse distal thrombosis (22,23). Another study demonstrated that PSP was present in 51% of patients with CTEPH, although this finding improved after BPA. Quantitative assessment of DECT-based vascular parameters might further insights into the presence of SVD, although data is lacking (24).
Magnetic resonance imaging (MRI)
MRI offers considerable potential in evaluation of CTEPH, although this has not yet translated into clinical practice. Currently, MRI is the gold standard for evaluation of right ventricle (RV) function and morphology. Phase contrast-MRI (PC-MRI) velocity mapping of PA provide valuable insights into pulmonary flow and vascular resistance and are proven biomarkers for noninvasive monitoring and for assessment of response to therapy. Systolic notching along the time course of mean pulmonary velocity is a known finding in PH and Hardziyenka et al. proposed that an echocardiographic timing of this notch can provide insights into the presence of SVD (25); the later the notch in systole, the greater the downstream resistance. Similar such findings can be assessed with two-dimensional (2D) PC-MRI and can be used to assess response to therapy (26) (Figure 5). Newer tools such as four-dimensional (4D) flow MRI allow comprehensive assessment of PA flow dynamics. Novel markers of increased PA pressures and PVR such as vortex, pulsed-wave velocity and wall shear stress (WSS) can provide unique noninvasive insights into the hemodynamics and the status of underlying microvasculature (27). Dynamic contrast enhanced MRI and DECT have been demonstrated to have comparable assessments of perfusion defects and similar abilities to detect perfusion improvement following PTE (28). There is a lot of interest in noninvasive assessment of lung perfusion and ventilation using techniques such as phase resolved functional lung (PREFUL) MRI. In one study on 42 CTEPH patients, quantitative parameters obtained using PREFUL MRI correlated with hemodynamic parameters highlighting the potential benefits (29). While these techniques are promising and might provide valuable clues to the presence of SVD, technical challenges remain and most of these tools are still in their nascent stage. Further research and prospective trials might shed light on the future of MRI in assessment of SVD.
Positron emission tomography (PET)
PET imaging, particularly with fluorodeoxyglucose (FDG), is an emerging tool in CTEPH. It can be used to assess metabolic activity and inflammation in the pulmonary arteries. Increased FDG uptake has been observed in patients with CTEPH, and it may be a marker of inflammation and vascular remodeling. In one study, FDG uptake in the lung parenchyma was found to be higher in patients with distal disease than in proximal disease, suggesting potential role in assessing peripheral vasculopathy (30).
Emerging techniques and future directions
As noted above, newer CT tools such as photon counting CT offer promise in evaluation of detailed morphology of the lung parenchyma and better understanding of vascular changes (14). Similarly newer MRI tools such as 4D flow and PREFUL MRI can offer promise in evaluation of SVD (29).
Emerging artificial intelligence (AI) and machine learning for automated segmentation and analysis of cardiopulmonary and vascular structures has the potential to harness the full diagnostic value of medical imaging (31). Recent advances in quantitative evaluation of CTEPH increasingly leverage computational hemodynamics and AI-driven imaging to elucidate microvascular involvement and its relationship with impaired hemodynamics. DECT and AI-based perfusion quantification, such as the PerAIDE model described by Xi et al. (32) provide detailed maps of lung perfusion abnormalities that correlate with PVR and mean PA pressure, reflecting microvascular impairment beyond visible macrovascular obstruction. Similarly, automated metrics derived from CT pulmonary angiography correlate with invasive hemodynamic parameters, enhancing diagnostic accuracy and linking vascular morphologic changes to pulmonary circulation dysfunction (33). Complementing these imaging biomarkers, patient-specific blood flow dynamics models using computational fluid dynamics (CFD) reveal altered pulmonary arterial flow in CTEPH: compared with controls, patients exhibit reduced flow velocity, decreased WSS, increased oscillatory shear index (OSI), and greater blood stagnation, factors implicated in endothelial dysfunction, thrombogenicity, and vascular remodeling that may extend into the microvasculature (34). These hemodynamic disturbances, quantifiable through simulation of patient-specific anatomy and hemodynamics, provide mechanistic insight into how altered flow patterns contribute to disease progression and may serve as emerging markers for SVD severity in CTEPH.
In parallel, synchrotron radiation-based pulmonary microangiography offers an experimental method to visualize the microvascular architecture and dynamic blood flow at very high spatial and contrast resolution (35), suggesting potential for in-depth characterization of microvasculopathy and real-time pulmonary blood flow distribution. Lastly, patient-specific hemodynamic modeling has been introduced by Ebrahimi et al. providing a non-invasive computational framework to estimate the extent of microvascular remodeling and simulate individual responses to PTE. By integrating CTA geometries with right heart catheterization (RHC) data, these multiscale models can potentially estimate the extend of SVD and simulate post-surgical outcomes (36).
Conclusions
Management of CTEPH is a complex task, requiring a personalized, multimodal treatment strategy involving multidisciplinary teams. Imaging plays a crucial role in diagnosis and risk stratification of these patients. Preoperative imaging using various tools allows confident diagnosis of CTEPH and determines patients’ surgical suitability for PTE or BPA. Assessment of SVD still continues to be a challenge, although significant progress has been made. The presence of distal PA obstructions and PVR out of proportion to the degree of mechanical obstruction, are strongly suggestive of underlying microvascular disease. Preoperative recognition of SVD is crucial as these are associated with worse clinical outcomes and may result in recurrent/residual PH following surgery. Several imaging findings on various imaging modalities can provide clue to the presence of microvascular disease, although requires careful assessment and multidisciplinary input (Table 2). Advanced imaging tools and continued research into novel imaging techniques can enhance our understanding of SVD and help in earlier detection and help targeted therapy. Finally, AI development as well as hemodynamic simulation, and high-resolution imaging may converge to quantify microvasculopathy and guide personalized assessment and treatment in CTEPH.
Table 2
| Modality | Main findings | Advantages | Limitations |
|---|---|---|---|
| V/Q scan | PSP not well seen; longitudinal progression from a high probability scan to a more homogenous perfusion mismatch | High availability, high sensitivity | False positive defects in other conditions; shine-through effect; limited spatial resolution |
| CTPA | Mosaic attenuation; segmental vessel caliber reduction; bronchial artery and systemic collaterals; ill-defined parenchymal GGO | Possibility to evaluate different etiologies for perfusion defects; anatomic mapping | Subtle CTEPH lesions can be can easily be missed; multiple findings are nonspecific |
| DECT | PSP | Concurrent anatomical and perfusion assessment | Lower availability |
| MRI | Systolic notching on PC-MRI, timing of the notch can point to the presence of small vessel disease (especially if seen later) | Potential unique noninvasive evaluation of flow and vascular resistance | Technically demanding, Higher cost and lower availability |
| PET with FDG | Increased FDG uptake | Potential tool to detect early inflammation and vascular remodeling | Nonspecific findings |
CTEPH, chronic thromboembolic pulmonary hypertension; CTPA, computed tomography pulmonary angiography; DECT, dual-energy computed tomography; FDG, fluorodeoxyglucose; GGO, ground-glass opacity; MRI, magnetic resonance imaging; PC-MRI, phase-contrast magnetic resonance imaging; PET, positron emission tomography; SVD, small vessel disease; V/Q, ventilation-perfusion.
Acknowledgments
None.
Footnote
Reporting Checklist: The authors have completed the Narrative Review reporting checklist. Available at https://cdt.amegroups.com/article/view/10.21037/cdt-2025-1-652/rc
Peer Review File: Available at https://cdt.amegroups.com/article/view/10.21037/cdt-2025-1-652/prf
Funding: None.
Conflicts of Interest: All authors have completed the ICMJE uniform disclosure form (available at https://cdt.amegroups.com/article/view/10.21037/cdt-2025-1-652/coif). The authors have no conflicts of interest to declare.
Ethical Statement: The authors are accountable for all aspects of the work in ensuring that questions related to the accuracy or integrity of any part of the work are appropriately investigated and resolved.
Open Access Statement: This is an Open Access article distributed in accordance with the Creative Commons Attribution-NonCommercial-NoDerivs 4.0 International License (CC BY-NC-ND 4.0), which permits the non-commercial replication and distribution of the article with the strict proviso that no changes or edits are made and the original work is properly cited (including links to both the formal publication through the relevant DOI and the license). See: https://creativecommons.org/licenses/by-nc-nd/4.0/.
References
- Shahidi P, Mentzel L, Blazek S, et al. From Pulmonary Embolism to Chronic Thromboembolic Pulmonary Hypertension: A Pathophysiological Approach. Rev Cardiovasc Med 2024;25:402. [Crossref] [PubMed]
- Corrigendum to: 2022 ESC/ERS Guidelines for the diagnosis and treatment of pulmonary hypertension: Developed by the task force for the diagnosis and treatment of pulmonary hypertension of the European Society of Cardiology (ESC) and the European Respiratory Society (ERS). Endorsed by the International Society for Heart and Lung Transplantation (ISHLT) and the European Reference Network on rare respiratory diseases (ERN-LUNG). Eur Heart J 2023;44:1312. Erratum for Eur Heart J 2022;43:3618-731. [Crossref]
- Gerges C, Gerges M, Friewald R, et al. Microvascular Disease in Chronic Thromboembolic Pulmonary Hypertension: Hemodynamic Phenotyping and Histomorphometric Assessment. Circulation 2020;141:376-86. [Crossref] [PubMed]
- Simonneau G, Torbicki A, Dorfmüller P, et al. The pathophysiology of chronic thromboembolic pulmonary hypertension. Eur Respir Rev 2017;26:160112. [Crossref] [PubMed]
- Moser KM, Bloor CM. Pulmonary vascular lesions occurring in patients with chronic major vessel thromboembolic pulmonary hypertension. Chest 1993;103:685-92. [Crossref] [PubMed]
- Hsieh WC, Jansa P, Huang WC, et al. Residual pulmonary hypertension after pulmonary endarterectomy: A meta-analysis. J Thorac Cardiovasc Surg 2018;156:1275-87. [Crossref] [PubMed]
- Renapurkar RD, Shrikanthan S, Heresi GA, et al. Imaging in Chronic Thromboembolic Pulmonary Hypertension. J Thorac Imaging 2017;32:71-88. [Crossref] [PubMed]
- Tunariu N, Gibbs SJ, Win Z, et al. Ventilation-perfusion scintigraphy is more sensitive than multidetector CTPA in detecting chronic thromboembolic pulmonary disease as a treatable cause of pulmonary hypertension. J Nucl Med 2007;48:680-4. [Crossref] [PubMed]
- Wang M, Wu D, Ma R, et al. Comparison of V/Q SPECT and CT Angiography for the Diagnosis of Chronic Thromboembolic Pulmonary Hypertension. Radiology 2020;296:420-9. [Crossref] [PubMed]
- Tanabe N, Sugiura T, Jujo T, et al. Subpleural perfusion as a predictor for a poor surgical outcome in chronic thromboembolic pulmonary hypertension. Chest 2012;141:929-34. [Crossref] [PubMed]
- Azarian R, Wartski M, Collignon MA, et al. Lung perfusion scans and hemodynamics in acute and chronic pulmonary embolism. J Nucl Med 1997;38:980-3. [PubMed]
- Skoro-Sajer N, Becherer A, Klepetko W, et al. Longitudinal analysis of perfusion lung scintigrams of patients with unoperated chronic thromboembolic pulmonary hypertension. Thromb Haemost 2004;92:201-7. [Crossref] [PubMed]
- Grosse A, Grosse C, Lang IM. Distinguishing Chronic Thromboembolic Pulmonary Hypertension From Other Causes of Pulmonary Hypertension Using CT. AJR Am J Roentgenol 2017;209:1228-38. [Crossref] [PubMed]
- Remy-Jardin M, Duhamel A, Delobelle M, et al. Lung microvasculopathy in chronic thromboembolic pulmonary hypertension: high-resolution findings with photon-counting detector CT in 29 patients. Eur Radiol 2025;35:6369-81. [Crossref] [PubMed]
- Heinrich M, Uder M, Tscholl D, et al. CT scan findings in chronic thromboembolic pulmonary hypertension: predictors of hemodynamic improvement after pulmonary thromboendarterectomy. Chest 2005;127:1606-13. [Crossref] [PubMed]
- Shimizu H, Tanabe N, Terada J, et al. Dilatation of bronchial arteries correlates with extent of central disease in patients with chronic thromboembolic pulmonary hypertension. Circ J 2008;72:1136-41. [Crossref] [PubMed]
- Shahin Y, Alabed S, Alkhanfar D, et al. Quantitative CT Evaluation of Small Pulmonary Vessels Has Functional and Prognostic Value in Pulmonary Hypertension. Radiology 2022;305:431-40. [Crossref] [PubMed]
- Hagspiel KD, Flors L, Housseini AM, et al. Pulmonary blood volume imaging with dual-energy computed tomography: spectrum of findings. Clin Radiol 2012;67:69-77. [Crossref] [PubMed]
- Abozeed M, Conic S, Bullen J, et al. Dual energy CT based scoring in chronic thromboembolic pulmonary hypertension and correlation with clinical and hemodynamic parameters: a retrospective cross-sectional study. Cardiovasc Diagn Ther 2022;12:305-13. [Crossref] [PubMed]
- Takagi H, Ota H, Sugimura K, et al. Dual-energy CT to estimate clinical severity of chronic thromboembolic pulmonary hypertension: Comparison with invasive right heart catheterization. Eur J Radiol 2016;85:1574-80. [Crossref] [PubMed]
- Renapurkar RD, Bullen J, Rizk A, et al. A Novel Dual Energy Computed Tomography Score Correlates With Postoperative Outcomes in Chronic Thromboembolic Pulmonary Hypertension. J Thorac Imaging 2024;39:178-84. [Crossref] [PubMed]
- Onishi H, Taniguchi Y, Matsuoka Y, et al. Evaluation of microvasculopathy using dual-energy computed tomography in patients with chronic thromboembolic pulmonary hypertension. Pulm Circ 2021;11:2045894020983162. [Crossref] [PubMed]
- Miwa K, Taniguchi Y, Fujii H, et al. Microvasculopathy Evaluated by Dual-Energy Computed Tomography in Patients with Chronic Thromboembolic Pulmonary Hypertension and Pulmonary Arterial Hypertension. Life (Basel) 2022;12:1232. [Crossref] [PubMed]
- Nallasamy N, Bullen J, Karim W, et al. Evaluation of Vascular Parameters in Patients With Pulmonary Thromboembolic Disease Using Dual-energy Computed Tomography. J Thorac Imaging 2019;34:367-72. [Crossref] [PubMed]
- Hardziyenka M, Reesink HJ, Bouma BJ, et al. A novel echocardiographic predictor of in-hospital mortality and mid-term haemodynamic improvement after pulmonary endarterectomy for chronic thrombo-embolic pulmonary hypertension. Eur Heart J 2007;28:842-9. [Crossref] [PubMed]
- Rolf A, Rixe J, Kim WK, et al. Pulmonary vascular remodeling before and after pulmonary endarterectomy in patients with chronic thromboembolic pulmonary hypertension: a cardiac magnetic resonance study. Int J Cardiovasc Imaging 2015;31:613-9. [Crossref] [PubMed]
- Dong ML, Azarine A, Haddad F, et al. 4D flow cardiovascular magnetic resonance recovery profiles following pulmonary endarterectomy in chronic thromboembolic pulmonary hypertension. J Cardiovasc Magn Reson 2022;24:59. [Crossref] [PubMed]
- Moher Alsady T, Kaireit TF, Behrendt L, et al. Comparison of dual-energy computer tomography and dynamic contrast-enhanced MRI for evaluating lung perfusion defects in chronic thromboembolic pulmonary hypertension. PLoS One 2021;16:e0251740. [Crossref] [PubMed]
- Duan J, Liu L, Guo S, et al. Evaluation of pulmonary perfusion and ventilation in suspected chronic thromboembolic pulmonary hypertension via phase-resolved functional lung magnetic resonance imaging: correlations with hemodynamics and cardiopulmonary function. Quant Imaging Med Surg 2025;15:7169-82. [Crossref] [PubMed]
- Osorio J, Tura-Ceide O, Pavía J, et al. Increased lung [18F]-FDG uptake in chronic thromboembolic pulmonary hypertension with distal involvement. Eur Respir J 2025;66:2500130. [Crossref] [PubMed]
- Remy-Jardin M, Ryerson CJ, Schiebler ML, et al. Imaging of pulmonary hypertension in adults: a position paper from the Fleischner Society. Eur Respir J 2021;57:2004455. [Crossref] [PubMed]
- Xi L, Wang J, Liu A, et al. Development of a lung perfusion automated quantitative model based on dual-energy CT pulmonary angiography in patients with chronic pulmonary thromboembolism. Insights Imaging 2025;16:182. [Crossref] [PubMed]
- Lin Y, Li M, Xie S. Diagnostic value of fully automated CT pulmonary angiography in patients with chronic thromboembolic pulmonary hypertension and chronic thromboembolic disease. Eur Radiol 2025;35:6983-95. [Crossref] [PubMed]
- Tsubata H, Nakanishi N, Itatani K, et al. Pulmonary artery blood flow dynamics in chronic thromboembolic pulmonary hypertension. Sci Rep 2023;13:6490. [Crossref] [PubMed]
- Tokunaga C, Matsushita S, Sakamoto H, et al. A new method for visualizing pulmonary artery microvasculature using synchrotron radiation pulmonary microangiography: the measurement of pulmonary arterial blood flow velocity in the high pulmonary blood flow rat model. Acta Radiol 2018;59:1482-6. [Crossref] [PubMed]
- Ebrahimi BS, Khwaounjoo P, Chan HF, et al. Patient-Specific Haemodynamic Modeling to Estimate the Extent of Microvascular Disease and Response to Pulmonary Endarterectomy in Chronic Thromboembolic Pulmonary Hypertension. Pulm Circ 2025;15:e70176. [Crossref] [PubMed]

